黏液不仅仅是一种黏稠物质:它含有大量名为黏蛋白的强大分子,有助于抑制微生物并预防感染。在一项新研究中,美国麻省理工学院研究人员鉴定出能够防御沙门氏菌及其他引发腹泻的细菌的黏蛋白。研究人员希望模拟这种防御系统来制造合成黏蛋白,帮助有沙门氏菌暴露风险的人群预防或治疗疾病。9月23日,该研究发表于《细胞报告》期刊。
麻省理工学院的研究人员正在开发合成黏蛋白,可用于治疗或预防食源性疾病。图片来源:麻省理工学院
?
本研究中,研究人员发现名为MUC2的黏蛋白能够关闭沙门氏菌用于侵入和感染宿主细胞的基因。麻省理工学院教授Katharina Ribbeck表示:“通过利用并重组这种来自天然免疫系统的模式,我们希望在腹泻发生前就制定预防策略。这种方法可为全球重大健康挑战提供低成本解决方案,该挑战每年导致数十亿美元的生产力损失和医疗开支。”
黏液覆盖身体大部分部位,为感染提供物理屏障,但它的作用远不止于此。过去十年间,Ribbeck已鉴定出能够抑制霍乱弧菌、肺部及其他器官感染菌铜绿假单胞菌以及白色念珠菌的黏蛋白。
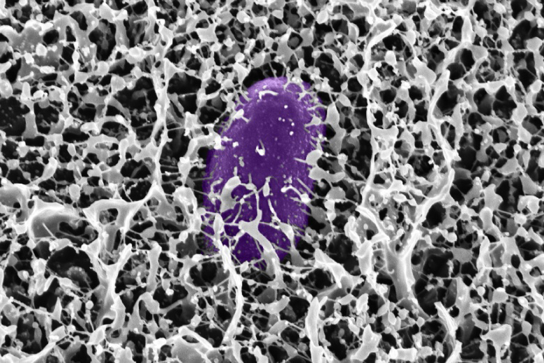
新研究中,研究人员希望探索消化道黏蛋白如何与肠道沙门氏菌相互作用,这种食源性病原体可在摄入生食、未煮熟食物或污染水后引发疾病。
为感染宿主细胞,沙门氏菌必须产生属于III型分泌系统(T3SS)的蛋白质,该系统帮助细菌形成针状复合物,将细菌蛋白直接注入宿主细胞。这些蛋白质均由一段名为SPI-1的DNA编码。
研究人员发现,当沙门氏菌暴露于肠道黏蛋白MUC2时,细菌停止产生SPI-1编码的蛋白质,且失去感染细胞能力。进一步研究显示,MUC2通过关闭名为HilD的细菌调节蛋白实现该效果。当该蛋白被黏蛋白阻断后,无法再激活T3SS基因。
通过计算机模拟,研究人员发现聚糖中的某些单糖(包括GlcNAc和GalNAc)能结合到HilD蛋白的特定位点。但研究表明这些单糖自身无法关闭HilD——只有当聚糖与黏蛋白肽骨架连接时才会触发关闭机制。
研究人员还发现胃部存在的类似黏蛋白MUC5AC也能阻断HilD。且MUC2和MUC5AC均可关闭其他以HilD作为基因调节因子的食源性病原体的毒力基因。
论文第一作者、麻省理工学院博士Kelsey Wheeler指出:“沙门氏菌的逃避策略就是寻找无黏液区域进行感染。因此可以设想通过增强黏液屏障来保护这些黏蛋白不足的区域。”部署合成黏蛋白的一种方式是将它们加入口服补液盐。
另一潜在应用是将合成黏蛋白制成咀嚼片,供前往沙门氏菌等腹泻疾病高发地区前服用。Wheeler强调:”黏蛋白模拟物尤其适合作为预防手段,因为黏液本就是人体进化出的先天免疫系统组成部分。“
相关论文信息:https://doi.org/10.1016/j.celrep.2025.116304
