1. 领域背景与文献引入
文献英文标题:IGH amplification in patients with B cell lymphoma unclassifiable, with features intermediate between diffuse large B cell lymphoma and Burkitt’s lymphoma;发表期刊:Biomarker Research;影响因子:未公开;研究领域:血液淋巴系统肿瘤(具有弥漫性大B细胞淋巴瘤与伯基特淋巴瘤中间特征的未分类B细胞淋巴瘤)。
2008年世界卫生组织(WHO)《造血与淋巴组织肿瘤分类》引入“具有弥漫性大B细胞淋巴瘤(diffuse large B-cell lymphoma, DLBCL)与伯基特淋巴瘤(Burkitt’s lymphoma, BL)中间特征的未分类B细胞淋巴瘤(B-cell lymphoma unclassifiable with features intermediate between DLBCL and BL, B-UNC/BL/DLBCL)”类别,用于分类无法满足经典BL或DLBCL诊断标准的“灰色地带”病例。这类肿瘤形态学兼具BL样中等细胞(高增殖、星空现象)与DLBCL样大细胞(核多形性、多个核仁)特征;免疫表型异质,常表达生发中心标志物(CD10、BCL6)及BCL2,Ki-67增殖指数多为50%-95%;细胞遗传学以MYC重排常见,部分为“双打击”(MYC+BCL2/BCL6重排),但IGH基因扩增此前未被报道。当前领域热点是解析“灰色地带”淋巴瘤的分子特征与预后标志物,未解决的核心问题是缺乏特异性细胞遗传学标志物辅助分类及预后判断。本研究旨在报道B-UNC/BL/DLBCL中的IGH低水平扩增,评估其在该人群中的意义。
2. 文献综述解析
文献综述围绕B-UNC/BL/DLBCL的定义、形态免疫特征及现有细胞遗传学研究展开。作者首先基于2008 WHO框架,明确B-UNC/BL/DLBCL是辅助分类非经典BL/DLBCL的异质类别;接着总结其形态(BL样中等细胞+DLBCL样大细胞)、免疫表型(生发中心标志物+BCL2+高Ki-67)及细胞遗传学(MYC重排、双打击)特征;随后指出现有研究的局限性:Foot等(2011)分析160例非伯基特高级别B细胞淋巴瘤,发现MYC、BCL2、BCL6低水平扩增,但无IGH扩增;Kodet等(2011)重新分类39例BL/BL样淋巴瘤,4例B-UNC/BL/DLBCL有IGH断裂与MYC高扩增,但无IGH扩增;Perry等(2013)研究39例B-UNC/BL/DLBCL,发现MYC、BCL2、BCL6扩增,但无IGH扩增。文献创新价值在于首次报道B-UNC/BL/DLBCL中的IGH低水平扩增,为“灰色地带”病例提供新的细胞遗传学标志物。
3. 研究思路总结与详细解析
本研究整体框架:回顾性筛选B-UNC/BL/DLBCL病例→整合形态学(H&E)、免疫表型(IHC、流式)及细胞遗传学(核型、FISH)分析→关联临床数据评估IGH扩增的意义。
3.1 病例筛选与临床数据收集
实验目的是筛选符合B-UNC/BL/DLBCL标准的病例,收集临床信息评估预后。方法细节:通过Sunquest CoPathPlus™数据库进行10年回顾性搜索(关键词:Burkitt-like lymphoma、atypical Burkitt’s等),筛选符合2008 WHO标准的病例;查阅病历收集年龄、性别、LDH水平、治疗方案(强化化疗+利妥昔单抗、造血干细胞移植)及生存结局。结果解读:共筛选6例B-UNC/BL/DLBCL病例,均经FISH证实IGH低水平扩增(3-6拷贝);患者中位年龄54岁(4-68岁),4男2女,所有患者初诊LDH升高(265-978 U/l,中位750 U/l);4例死亡(中位生存7个月,范围6-20个月),2例存活(105个月、42个月)。产品关联:文献未提及具体实验产品,领域常规使用电子病历系统(如Sunquest CoPathPlus™)收集数据。
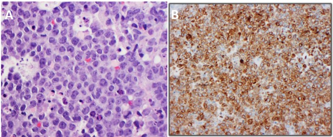
3.2 形态学与免疫表型分析
实验目的是明确B-UNC/BL/DLBCL的形态学特征及免疫表型谱。方法细节:对FFPE组织行H&E染色(形态学);使用Leica Bond-maX自动染色仪行IHC(检测CD3、CD20、BCL2等,一抗来自Ventana Medical Systems®);Becton Dickinson FACSCalibur™ 2000流式细胞仪行免疫表型分析(检测CD10、CD19等,抗体为荧光标记单抗)。结果解读:形态学显示弥漫生长、“星空”现象,中等细胞(BL样)+大细胞(DLBCL样)(图1A);免疫表型均表达BCL2(图1B)及至少一个生发中心标志物(CD10/BCL6),5例表达生发中心后标志物(CD38/MUM1),仅1例Ki-67<95%。产品关联:实验所用关键产品:Leica Bond-maX自动染色仪、Ventana Medical Systems®的IHC一抗、Becton Dickinson的流式细胞仪及抗体。

3.3 细胞遗传学分析
实验目的是检测IGH及相关基因(MYC、BCL2)的拷贝数与重排。方法细节:对2例肿瘤组织和1例淋巴结组织行常规G带核型分析;对新鲜/FFPE组织行FISH(使用Abbott Molecular的IGH、MYC、BCL2探针,低水平扩增定义为3-6拷贝)。结果解读:6例均有IGH 3-6拷贝扩增(图2A-C);3例MYC 3-4拷贝,1例BCL2 3-6拷贝;2例IGH/MYC易位,1例IGH/BCL2易位;1例核型复杂(44,X,-Y等),其余2例正常。产品关联:实验所用关键产品:Abbott Molecular的FISH探针(IGH、MYC、BCL2等)。

4. Biomarker研究及发现成果解析
Biomarker定位
涉及的Biomarker为IGH基因低水平扩增(基因拷贝数变异,3-6拷贝),属于细胞遗传学Biomarker。筛选/验证逻辑:回顾性筛选B-UNC/BL/DLBCL病例→FISH检测肿瘤组织IGH拷贝数→关联临床数据验证预后意义。
研究过程详述
Biomarker来源为患者肿瘤组织(新鲜或FFPE);验证方法为FISH(使用Abbott Molecular的IGH探针,计数拷贝数);特异性数据:146例淋巴瘤中仅6例B-UNC/BL/DLBCL存在IGH扩增,特异性较高;敏感性数据:6例B-UNC/BL/DLBCL均检测到IGH扩增,敏感性100%(n=6)。
核心成果提炼
本研究首次报道B-UNC/BL/DLBCL中存在IGH低水平扩增,为该类淋巴瘤新增细胞遗传学标志物。临床关联显示,4例死亡患者中位生存7个月(n=4,范围6-20个月),生存最长的患者(105个月)仅存在IGH扩增作为唯一细胞遗传学异常,推测IGH扩增可能与预后相关,但需更大样本验证。此外,3例合并MYC扩增的患者中2例死亡(中位生存6个月),1例存活(42个月),提示IGH与MYC扩增的组合可能影响预后,但机制待研究。文中未提供IGH扩增与生存结局的具体统计显著性(如风险比、P值)。
