2. 领域背景与文献引入
文献英文标题:Lymphocyte antigen 6 superfamily member D is a marker of urothelial and squamous differentiation: implications for risk stratification of bladder cancer;发表期刊:Biomarker Research;影响因子:未公开;研究领域:膀胱癌生物标志物与风险分层。
膀胱癌是全球第十大常见恶性肿瘤,男性发病率约为女性的4倍,主要分为非肌层浸润性膀胱癌(NMIBC,约占75%)和肌层浸润性膀胱癌(MIBC,约占25%)。NMIBC异质性强,存在高复发(约50%)和进展为MIBC(约10%~30%)的风险,现有风险分层依赖肿瘤分期(pTa/pT1/Tis)、分级(WHO 2004),但存在观察者间差异,亟需补充生物标志物优化预测;MIBC侵袭性高,新辅助化疗(NAC)可降低远处转移风险,但仅约50%患者获益,缺乏预测化疗反应的有效标志物。
淋巴细胞抗原6超家族成员D(LY6D)是LY6家族跨膜蛋白,编码基因位于8q24(与原癌基因c-Myc相邻)。前期人类蛋白图谱(Human Protein Atlas)显示,LY6D在鳞状上皮、尿路上皮及相关肿瘤(如头颈部癌、尿路上皮癌)中高表达;小样本研究提示其为尿路上皮癌敏感标志物(可鉴别尿路上皮癌与前列腺癌),但缺乏LY6D在膀胱癌中的系统临床研究——未明确其与肿瘤分化、分期及生存的关联。本研究针对这一空白,通过三个独立队列分析LY6D的表达模式,旨在明确其作为膀胱癌风险分层生物标志物的潜力。
3. 文献综述解析
作者在文献综述中首先评述了膀胱癌的临床痛点:NMIBC风险分层依赖分期、分级但准确性有限,MIBC化疗反应预测缺乏有效标志物;随后总结LY6家族的生物学特征:LY6蛋白多为跨膜或分泌蛋白,在恶性肿瘤中常上调;接着回顾LY6D的前期研究:人类蛋白图谱显示其在鳞状上皮、尿路上皮及相关肿瘤中高表达,小样本研究提示其为尿路上皮癌敏感标志物,但未涉及膀胱癌的临床病理关联及预后价值。
作者指出现有研究的核心不足是缺乏LY6D在膀胱癌中的系统临床验证,尤其是其与肿瘤分化、分期及生存的关系。本研究的创新点在于:1)纳入三个独立队列(覆盖不同分期、分级的膀胱癌),系统分析LY6D的表达模式;2)关注LY6D与鳞状分化的关联,揭示其作为分化标志物的特性;3)探讨LY6D对膀胱癌生存预后的价值,为风险分层提供补充信息。
4. 研究思路总结与详细解析
本研究的整体目标是明确LY6D在膀胱癌中的表达模式及临床意义,核心科学问题是“LY6D是否可作为膀胱癌风险分层的生物标志物”,技术路线为“队列建立→组织芯片构建→免疫组化检测→统计分析→关联临床特征与生存”。
4.1 研究队列建立
实验目的:获取覆盖不同分期、分级的膀胱癌样本,为后续分析提供基础。
方法细节:纳入三个独立队列:1)队列I:110例初诊膀胱癌患者的经尿道膀胱肿瘤切除术(TURB)标本,涵盖pTa/pT1/T2-T4分期;2)队列II:260例基于人群的incident膀胱癌患者标本(TURB或根治性膀胱全切标本),含鳞状分化、巢状等变异组织学类型;3)队列III:145例MIBC患者标本(TURB、根治性膀胱全切标本及27例淋巴结转移灶),临床数据来自瑞典死因登记或医疗记录,所有标本均经病理学家重新评估。
结果解读:三个队列覆盖了NMIBC、MIBC及转移灶,为分析LY6D与肿瘤分期、分化、生存的关联提供了全面样本。
产品关联:文献未提及队列建立的具体产品,领域常规使用临床标本库、电子病历系统及病理存档标本。
4.2 组织芯片构建
实验目的:高效、标准化地分析多样本的LY6D表达。
方法细节:使用半自动组织芯片阵列仪(TMArrayer,Pathology Devices)构建组织芯片:队列I取TURB标本的 duplicate 1mm芯;队列II取TURB或膀胱全切标本的 duplicate 1mm芯;队列III取TURB、膀胱全切标本及淋巴结转移灶的 triplicate 1mm芯,尽量从不同石蜡块取材以减少异质性。
结果解读:成功构建三个队列的组织芯片,将多样本分析效率提升约50%,且标准化取材降低了样本间差异。
产品关联:实验所用关键产品:Pathology Devices的TMArrayer组织芯片阵列仪。
4.3 免疫组化染色与评估
实验目的:检测膀胱癌组织中LY6D的蛋白表达水平。
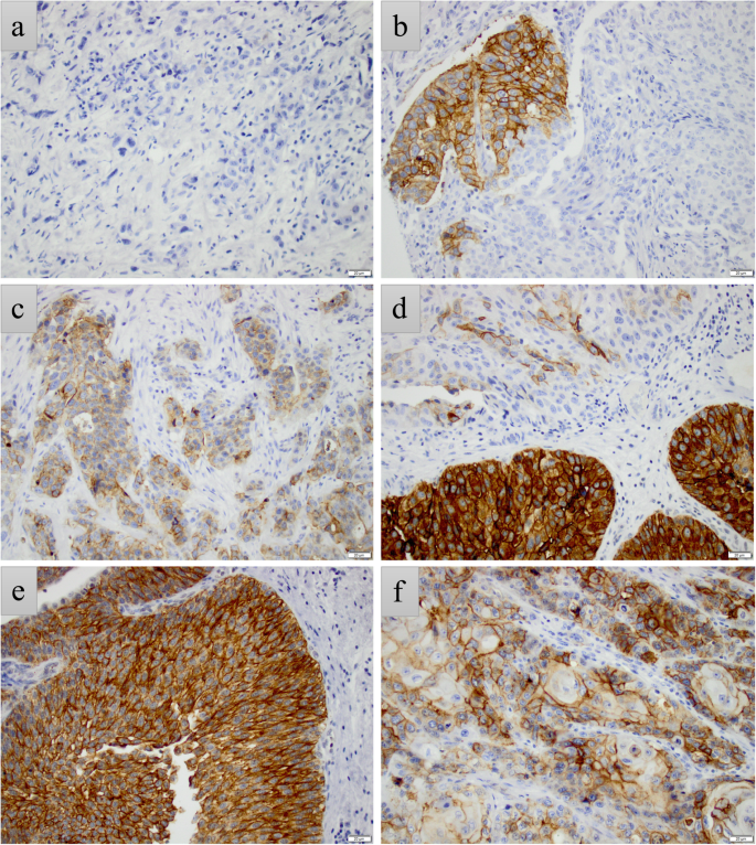
方法细节:4μm组织芯片切片经PT-link系统(Agilent Technologies)预处理(脱蜡、复水、抗原修复:97℃孵育20分钟,使用EnVision™ FLEX Target Retrieval Solution(3-in-1)pH9);采用Autostainer Plus(Agilent Technologies)进行免疫组化染色,抗体为Atlas Antibodies的多克隆抗体(货号HPA024755),稀释比例1:200,孵育30分钟;三位观察者独立评估阳性肿瘤细胞比例,分为0(阴性)、1(≤50%阳性)、2(>50%阳性),取平均得分,排除丢失或肿瘤细胞不足的芯。
结果解读:LY6D表达于肿瘤细胞的细胞质和细胞膜,无核染色;鳞状分化区域呈强阳性,部分肿瘤呈异质性表达(表面部分强阳性,浸润部分散在阳性);混合队列中63%(队列I,n=100)和64%(队列II,n=260)的病例阳性,MIBC队列中TURB标本51.4%阳性(n=144),膀胱全切标本44.6%阳性(n=101)。

产品关联:实验所用关键产品:Agilent Technologies的PT-link系统、EnVision™ FLEX Target Retrieval Solution、Autostainer Plus染色仪;Atlas Antibodies的LY6D多克隆抗体(货号HPA024755)。
4.4 统计分析
实验目的:分析LY6D表达与临床病理特征、生存的关联。
方法细节:采用卡方检验(分类变量)、非参数检验(连续变量)分析LY6D与临床病理特征(分期、分级、分化)的关联;Wilcoxon符号秩检验比较配对标本(TURB vs 膀胱全切)的LY6D表达;Kaplan-Meier法结合Log-rank检验分析5年总生存(OS)和无复发生存(RFS);Cox回归分析计算 hazard ratios(HR)及95%置信区间(CI),评估LY6D的独立预后价值。
结果解读:1)混合队列(I、II)中,LY6D高表达与低级别肿瘤(队列I:低级别肿瘤表达率78%,高级别45%,P<0.01;队列II:低级别72%,高级别58%,P<0.05)、低T分期(队列I:pTa/pT1表达率75%,pT2-T448%,P<0.01;队列II:pTa/pT170%,pT2-T455%,P<0.05)相关;2)队列II中,LY6D在鳞状分化肿瘤中表达更高(鳞状分化肿瘤表达率82%,经典尿路上皮癌62%,P<0.05),在其他变异型(如巢状、微乳头状)中表达更低(变异型表达率45%,经典尿路上皮癌62%,P<0.05);3)混合队列中,LY6D阳性者5年总生存更长(队列I:阳性者OS率65%,阴性者42%,HR=0.54,n=100,P=0.02;队列II:阳性者OS率70%,阴性者55%,HR=0.61,n=260,P=0.01),但调整分期、分级后无独立性(HR=0.72,P=0.15);4)MIBC队列中,LY6D与RFS无关(阳性者RFS率48%,阴性者45%,P=0.63)。




产品关联:实验所用关键产品:IBM SPSS Statistics 25统计软件、GraphPad Prism 8绘图软件。
5. Biomarker研究及发现成果解析
5.1 Biomarker定位
LY6D是尿路上皮和鳞状分化标志物,属于蛋白质类生物标志物。其筛选验证逻辑为:1)前期人类蛋白图谱筛选到LY6D在鳞状上皮、尿路上皮及相关肿瘤中高表达;2)通过三个膀胱癌队列的组织芯片免疫组化验证其表达模式;3)关联临床病理特征(分期、分级、分化)及生存预后,明确其临床意义。
5.2 研究过程详述
LY6D的来源为膀胱癌患者的TURB标本、根治性膀胱全切标本及淋巴结转移灶;验证方法为免疫组化(评估阳性细胞比例);特异性方面,LY6D在鳞状分化肿瘤中高表达(队列II中鳞状分化肿瘤表达率82%,经典尿路上皮癌62%,P<0.05),在其他变异型中表达更低(变异型表达率45%,经典尿路上皮癌62%,P<0.05),此前研究显示前列腺癌中LY6D阴性,可用于鉴别尿路上皮癌与前列腺癌;敏感性方面,混合队列中63%(队列I,n=100)和64%(队列II,n=260)的病例阳性,MIBC队列中TURB标本51.4%阳性(n=144),膀胱全切标本44.6%阳性(n=101),淋巴结转移灶34.8%阳性(n=23)。
5.3 核心成果提炼
LY6D的功能关联与创新性如下:
1. 分化标志物特性:LY6D是尿路上皮和鳞状分化的特异性标志物,与低级别、低侵袭性肿瘤相关(混合队列中低级别肿瘤表达率更高,P<0.05;低T分期表达率更高,P<0.05),可辅助病理学家判断肿瘤分化程度。
2. 预后价值:LY6D阴性表达与更短的5年总生存相关(混合队列中阳性者OS更长,HR=0.54~0.61,P<0.05),但并非独立预后因素(调整分期、分级后无显著性),需与现有分期、分级联合使用。
3. 鳞状分化的影响:LY6D在鳞状分化肿瘤中高表达,排除鳞状分化后其预后价值增强(队列II中排除鳞状分化后,高表达者OS率75%,阴性者50%,HR=0.52,P=0.06),提示临床应用时需结合组织学类型。
4. MIBC中的局限性:MIBC队列中LY6D表达更低(TURB标本51.4%阳性,膀胱全切标本44.6%阳性),且与复发无关(RFS无显著性差异,P=0.63),不适用于MIBC的复发预测。
本研究的核心贡献是首次系统验证了LY6D作为膀胱癌分化标志物的临床意义,为膀胱癌风险分层提供了补充生物标志物,但需注意其受鳞状分化的影响,临床应用时需结合组织学类型。未来研究可探讨LY6D与化疗反应的关联,明确其在MIBC中的预测价值。
