1. 领域背景与文献引入
文献英文标题:Investigation of HNF-1B as a diagnostic biomarker for pancreatic ductal adenocarcinoma;发表期刊:Biomarker Research;影响因子:未公开;研究领域:胰腺肿瘤诊断生物标志物研究
胰腺导管腺癌(PDAC)是胰腺癌最常见的亚型,占胰腺癌病例的85%左右,是全球致死率最高的恶性肿瘤之一,5年总生存率不足5%,多数患者确诊时已处于转移阶段,且原发灶不明的转移性PDAC诊断难度极大,核心瓶颈在于缺乏特异性诊断生物标志物。领域共识:KRAS突变在PDAC中的检出率可达90%,但该突变并非PDAC特异性突变,难以作为诊断标志物;传统糖类抗原19-9(CA19-9)存在特异性不足的问题,在良性胰腺疾病中也可能出现升高。因此,开发高特异性、高敏感性的PDAC诊断生物标志物,尤其是针对转移性PDAC的标志物,成为领域内亟待解决的核心问题。本研究聚焦肝细胞核因子1B(HNF-1B)在PDAC及相关肿瘤中的表达模式,旨在明确其作为诊断生物标志物的价值,为PDAC的临床诊断提供新的工具。
2. 文献综述解析
作者从PDAC诊断的临床困境出发,以现有生物标志物的局限性为核心评述逻辑,结合HNF-1B在胰腺发育中的调控作用及其他肿瘤中的标志物研究基础,提出研究假设。现有研究已证实HNF-1B是胰腺发育的关键转录因子,在胰腺导管上皮细胞的分化和功能维持中发挥重要作用,同时已被报道为卵巢透明细胞癌的特异性生物标志物,具有较高的诊断价值。但此前针对HNF-1B在PDAC中的研究仅局限于透明细胞亚型,未覆盖常规PDAC及转移性PDAC病例,缺乏大样本队列的验证,也未系统分析其与其他胰腺胆道肿瘤及非胰腺胆道肿瘤的表达差异,无法明确其诊断特异性,且未开展诊断效能的量化分析。本研究的创新价值在于,首次在包含127例原发PDAC、17例转移性PDAC、47例胆道腺癌及231例非胰腺胆道肿瘤的大样本队列中,系统分析HNF-1B的表达模式,明确其在不同亚型PDAC及转移性PDAC中的表达特征,同时计算其诊断胰腺胆道肿瘤的敏感性、特异性等核心指标,弥补了现有研究的空白,为HNF-1B的临床应用提供了循证依据。
3. 研究思路总结与详细解析
本研究的核心目标是明确HNF-1B作为PDAC及胰腺胆道肿瘤诊断生物标志物的临床价值,核心科学问题是HNF-1B在PDAC(包括转移性)、胰腺胆道肿瘤及非胰腺胆道肿瘤中的表达差异及诊断效能,技术路线遵循“队列构建→组织芯片制备与免疫组化检测→表达模式分析→诊断效能计算→生存分析”的闭环逻辑,通过多维度验证明确HNF-1B的诊断价值。
3.1 研究队列构建与样本收集
实验目的为构建覆盖多种肿瘤类型的大样本队列,为后续HNF-1B表达分析提供样本基础。研究回顾性收集127例原发PDAC切除标本、17例已知转移性PDAC标本(转移部位包括肝脏13例、腹腔淋巴结2例、腹膜1例、骨1例)、47例胆道腺癌标本,以及231例形态学可能模拟PDAC的非胰腺胆道肿瘤标本,所有标本均为福尔马林固定石蜡包埋(FFPE)组织,其中85例原发PDAC患者具有至少2年随访的完整生存数据。最终成功构建了包含多种肿瘤类型的研究队列,为后续实验提供了充足的样本支撑。文献未提及具体实验产品,领域常规使用福尔马林固定液、石蜡包埋试剂盒等试剂。
3.2 组织芯片构建与组织学评估
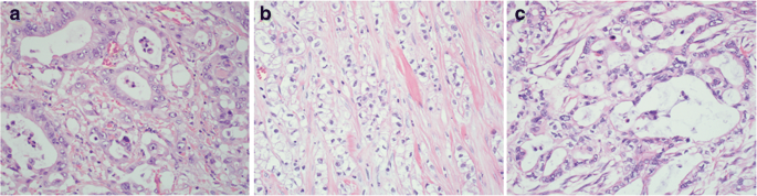
实验目的为制备组织芯片以实现高通量检测,同时明确PDAC的组织学特征。研究对127例原发PDAC的肿瘤切片进行回顾性评估,提取肿瘤大小、分期、分级、形态学特征、脉管侵犯、神经侵犯及切缘状态等临床病理参数;使用2mm针芯制备组织芯片,每个原发PDAC标本取2个肿瘤组织芯或相邻非肿瘤胰腺组织芯作为对照,17例转移性PDAC中11例纳入组织芯片,其余6例为单独切片的活检标本。结果显示,127例原发PDAC中84例(66.1%)为常规型PDAC,43例(33.9%)具有不同程度的胞质透明化特征,包括10例(7.9%)显著透明化、33例(26%)混合特征;17例转移性PDAC中1例为显著透明化,2例为混合特征,其余为常规形态。

实验所用关键产品:Beecher Instruments Inc.的组织芯片制备仪器。
3.3 免疫组化检测与表达模式分析
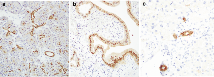
实验目的为检测HNF-1B在各类肿瘤及正常组织中的表达模式,明确其表达特征。研究使用多克隆抗HNF-1B抗体(Sigma,货号HPA002083,稀释比例1:200)进行免疫组化(IHC)检测,抗原修复采用H1缓冲液(Leica Biosystems)处理10分钟,所有检测在Leica BOND-III自动化免疫组化染色仪上完成;以任何肿瘤细胞出现HNF-1B表达定义为阳性,阳性病例分为“强阳性”(20倍低倍镜下清晰可见染色)和“弱阳性”(100倍高倍镜下可见染色且强度较低)。
结果显示,在正常组织中,HNF-1B在胰腺导管上皮及 centroacinar 导管细胞中表达,以核染色为主伴微弱胞质染色;在胆囊上皮中以核染色为主,在肝内及肝外胆管上皮中以胞质染色为主。

在原发PDAC中,84.3%(107/127,n=127)的病例表达HNF-1B,表达模式包括胞质染色(59.8%)、核染色(29.9%)、核+胞质染色(5.6%)、胞质+膜染色(4.7%),其中70.9%为强阳性;17例转移性PDAC中94.1%(16/17,n=17)表达HNF-1B,其中76.5%为强阳性,且70.6%以核染色为主。在胰腺胆道肿瘤中,胆管癌、壶腹癌、胆囊腺癌的HNF-1B阳性率分别为86.7%(13/15,n=15)、72%(13/18,n=18)、92.9%(13/14,n=14);在非胰腺胆道肿瘤中,肾透明细胞癌、卵巢透明细胞癌的阳性率约为77%,胃食管、肺、前列腺腺癌的阳性率最高可达37%,而肝细胞癌、结直肠癌、乳腺癌及肺鳞状细胞癌中HNF-1B完全阴性。

实验所用关键产品:Sigma的HNF-1B多克隆抗体(货号HPA002083)、Leica Biosystems的H1抗原修复缓冲液、Leica BOND-III自动化免疫组化染色仪。
3.4 诊断效能计算与生存分析
实验目的为计算HNF-1B诊断胰腺胆道肿瘤的效能,同时分析其与PDAC患者生存的相关性。研究采用Fisher精确检验分析HNF-1B表达与PDAC临床病理参数的相关性;使用单因素及多因素Cox比例风险模型分析临床病理参数与总生存的相关性;计算HNF-1B诊断原发胰腺胆道肿瘤的敏感性、特异性、阳性预测值、阴性预测值及准确性。
结果显示,HNF-1B诊断原发胰腺胆道肿瘤的敏感性为84%,特异性为68%,阳性预测值为66%,阴性预测值为85%,准确性为75%;单因素及多因素分析显示,肿瘤大小≥2cm(P=0.03,n=85)及高肿瘤分级(P=0.02,n=85)与PDAC患者更差的总生存显著相关,而HNF-1B表达与总生存无显著相关性(P>0.05,n=85)。文献未提及具体实验产品,领域常规使用SAS等统计分析软件。
4. Biomarker研究及发现成果解析
本研究的核心生物标志物为肝细胞核因子1B(HNF-1B),属于转录因子类生物标志物,筛选逻辑基于其在胰腺发育中的核心调控作用及前期在PDAC透明细胞亚型中的表达报道,验证逻辑遵循“正常组织表达模式分析→大样本肿瘤队列表达验证→诊断效能计算→与其他肿瘤的表达差异分析”的完整链条,确保了研究结论的可靠性。
研究以福尔马林固定石蜡包埋的肿瘤组织标本为检测样本,采用免疫组化方法验证HNF-1B的表达;结果显示,HNF-1B在原发PDAC中的阳性率为84.3%(n=127),转移性PDAC中的阳性率为94.1%(n=17),胰腺胆道肿瘤整体阳性率为84%;其诊断原发胰腺胆道肿瘤的敏感性为84%,特异性为68%,阴性预测值为85%,准确性为75%,95%置信区间未明确提供。
核心成果方面,HNF-1B可作为胰腺胆道肿瘤(包括转移性PDAC)的诊断生物标志物,尤其是在转移性PDAC中的高阳性率(94.1%),可为原发灶不明的转移性肿瘤诊断提供重要依据;其创新性在于首次系统明确了HNF-1B在不同亚型PDAC及转移性PDAC中的表达模式,同时系统分析了其与非胰腺胆道肿瘤的表达差异,弥补了现有研究的不足。但HNF-1B的特异性中等,需与其他标志物(如甲状腺转录因子1(TTF-1)、配对盒基因8(PAX-8)等)联合使用以提高诊断准确性。此外,HNF-1B表达与PDAC患者总生存无显著相关性(P>0.05,n=85),提示其无法作为PDAC的预后生物标志物。
