1. 领域背景与文献引入
文献英文标题:Absence of calretinin protein expression in malignant mesotheliomas from asbestos-exposed NF2+/− mice and mouse mesothelioma cell lines from various mouse strains;发表期刊:Biomarker Research;影响因子:未公开;研究领域:恶性间皮瘤生物标志物研究。
恶性间皮瘤(Malignant Mesothelioma, MM)是一种与石棉暴露高度相关的侵袭性肿瘤,中位生存期仅9-12个月,晚期诊断是导致预后极差的核心原因。病理诊断中,钙网膜蛋白(Calretinin, CR,由CALB2基因编码)是人类MM最敏感且特异的免疫组化(Immunohistochemistry, IHC)阳性标志物,不仅用于鉴别上皮型、双相型MM与其他肿瘤,还被提议与间皮素联合作为血液生物标志物,用于早期检测以提升干预时机。随着研究深入,小鼠模型(如石棉暴露的NF2+/−小鼠,其基因组改变[如NF2缺失]与人类MM高度相似)成为探究MM发病机制及验证生物标志物的关键工具。然而,小鼠MM中钙网膜蛋白的表达情况仍存在争议:部分研究报道某些小鼠模型中钙网膜蛋白阳性,但未系统验证蛋白水平表达;且钙网膜蛋白在小鼠间皮瘤发生中的体内功能尚未明确,这一空白严重限制了小鼠模型在钙网膜蛋白相关生物标志物研究中的适用性。
针对上述问题,本研究旨在明确石棉暴露NF2+/−小鼠MM组织、不同品系(C57、Balb/c)间皮瘤细胞系中钙网膜蛋白的蛋白及mRNA表达特征,并通过比较NF2+/−与NF2+/−CR−/−小鼠的石棉暴露后生存情况,探究钙网膜蛋白在小鼠间皮瘤发生中的作用。研究结果将为小鼠模型在人类MM生物标志物研究中的适用性提供关键数据,解决钙网膜蛋白作为小鼠MM生物标志物的可行性问题。
2. 文献综述解析
作者围绕“人类MM中钙网膜蛋白的诊断价值”“小鼠MM模型的应用”“现有研究矛盾”三大维度展开综述,核心逻辑是通过总结人类研究的共识与小鼠模型的不确定性,引出本研究的必要性。
现有研究总结:① 诊断价值:钙网膜蛋白是人类MM(尤其是上皮型和双相型)最敏感的阳性标志物,与间皮素联合检测可将早期诊断准确率提升至70%以上;② 小鼠模型:石棉暴露的NF2+/−小鼠因基因组改变(如NF2、CDKN2A缺失)与人类MM高度相似,被广泛用于研究发病机制,但小鼠MM中钙网膜蛋白的表达情况存在争议(如Yokohira等报道TISMO纤维暴露小鼠的胸膜间皮细胞钙网膜蛋白阳性,但未验证抗体对小鼠蛋白的特异性);③ 功能研究:体外实验显示,钙网膜蛋白可通过AKT/PI3K通路保护人类间皮细胞免受石棉细胞毒性,促进MM细胞增殖,但体内功能尚未明确。现有研究的局限性在于:缺乏对小鼠MM中钙网膜蛋白表达的系统蛋白水平验证,以及钙网膜蛋白在小鼠MM发生中的体内功能研究。
文献创新价值:本研究通过“IHC+Western blot+RT-qPCR”的多维度检测,首次系统验证小鼠MM中钙网膜蛋白的蛋白缺失特征;同时通过生存分析明确其体内功能无关性,弥补了现有研究对小鼠MM中钙网膜蛋白表达及功能的认知空白。研究结果直接回答了“小鼠模型能否用于钙网膜蛋白生物标志物研究”这一关键问题,为人类MM生物标志物的跨物种验证提供了重要参考。
3. 研究思路总结与详细解析
3.1 小鼠模型构建与石棉暴露处理
实验目的:建立石棉暴露的NF2+/−和NF2+/−CR−/−小鼠模型,模拟人类MM发生,为后续表达检测和生存分析提供样本。
方法细节:选取C57Bl/6J背景的NF2+/−(n=18)和NF2+/−CR−/−(n=30)小鼠(6-8周龄),每3周腹腔注射400μg青石棉(总剂量3.2mg),对照组为未暴露的NF2+/−小鼠(n=5);观察小鼠肿瘤发生(病理确诊)及生存时间,最长随访33个月。
结果解读:约10%的NF2+/−小鼠出现MM,且腹腔形成大量granuloma(炎性结节);未暴露小鼠中位生存期显著更长(29.13个月,95%CI:5.80-32.93,p=0.0008),确认石棉暴露是小鼠死亡的主要原因。
产品关联:青石棉来自SPI Supplies(货号未提及);文献未提及其他具体实验产品,领域常规使用动物腹腔注射针、饲养笼具、病理切片设备等。
3.2 钙网膜蛋白表达检测(IHC、Western blot、RT-qPCR)
实验目的:系统检测小鼠MM组织及细胞系中钙网膜蛋白的蛋白(IHC、Western blot)和mRNA(RT-qPCR)水平。
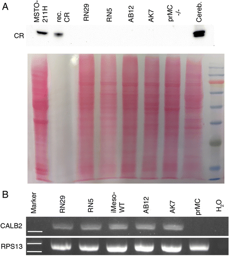
方法细节:① IHC:对NF2+/−小鼠MM组织、granuloma及人类ZL55细胞移植瘤(阳性对照)进行石蜡切片染色,使用SWANT的CR7696抗体(1:500),4℃过夜孵育,二抗为生物素化抗兔IgG(1:10000),ABC系统显色;② Western blot:提取小鼠间皮瘤细胞系(RN29、RN5、AK7、AB12)、人类MSTO-211H细胞(阳性对照)、小鼠小脑(阳性对照)及CR−/−小鼠原代间皮细胞(阴性对照)的蛋白(≥50μg),通过SDS-PAGE(10%凝胶)分离后转膜,用CR7696抗体(1:10000)检测,化学发光法显影;③ RT-qPCR:用PeqGold Trifast提取细胞系总RNA,Qiagen QuantiTect Reverse Transcription kit反转录为cDNA,用Calb2引物(FW: 5′-GAA ATG GGT ACA TTG AAG GTA-3′,RV: 5’-CCA TCT GAG TTC TTC TTA TCA TAC 5′)检测mRNA水平,以RPS13为内参。
结果解读:① IHC显示,NF2+/−小鼠MM组织及granuloma中的反应性间皮细胞均无钙网膜蛋白表达(图1),而人类ZL55移植瘤(阳性对照)的肿瘤细胞呈强阳性;② Western blot显示,所有小鼠细胞系均未检测到30kDa左右的钙网膜蛋白条带,人类MSTO-211H细胞和小鼠小脑(阳性对照)则显强条带(图2);③ RT-qPCR显示,所有小鼠细胞系(RN29、RN5、AK7、AB12)均检测到Calb2 mRNA表达,但水平低于人类细胞系。
产品关联:IHC和Western blot使用SWANT的CR7696抗体(货号未提及);RT-qPCR使用PeqGold Trifast RNA提取试剂、Qiagen反转录试剂盒;化学发光底物为Millipore Luminata Forte。


3.3 生存分析(Kaplan-Meier)
实验目的:探究钙网膜蛋白缺失对石棉暴露小鼠生存的影响,明确其在小鼠间皮瘤发生中的功能。
方法细节:记录NF2+/−和NF2+/−CR−/−小鼠的生存时间,用GraphPad Prism 7绘制Kaplan-Meier曲线,R软件进行log-rank检验(Mantel-Cox)比较两组差异。
结果解读:NF2+/−小鼠中位生存期为14.22个月(95%CI:9.23-19.07),NF2+/−CR−/−小鼠为14.63个月(95%CI:13.4-17.3),两组生存曲线无显著差异(p=0.7345,图3),提示钙网膜蛋白缺失不影响小鼠生存。
产品关联:使用GraphPad Prism 7和R软件进行统计分析;文献未提及其他具体产品。

4. Biomarker研究及发现成果解析
4.1 Biomarker定位与筛选逻辑
本研究关注的Biomarker为钙网膜蛋白(CR),其筛选逻辑基于“人类共识→小鼠验证→功能关联”的闭环:① 人类共识:钙网膜蛋白是人类MM最敏感的阳性标志物;② 小鼠验证:通过IHC、Western blot、RT-qPCR检测小鼠MM中的表达;③ 功能关联:通过生存分析探究其与小鼠生存的关系,验证作为生物标志物的可行性。
4.2 研究过程详述
Biomarker来源:石棉暴露NF2+/−小鼠的MM组织、不同品系(C57、Balb/c)的间皮瘤细胞系(RN29、RN5、AK7、AB12)。
验证方法:① 蛋白水平:IHC(组织)检测钙网膜蛋白的细胞定位,Western blot(细胞系)定量蛋白表达(检测限≥50μg蛋白);② mRNA水平:RT-qPCR检测Calb2基因的转录水平;③ 功能验证:生存分析(Kaplan-Meier)探究其与小鼠生存的关联。
特异性与敏感性结果:① 蛋白水平:小鼠MM组织及细胞系中未检测到钙网膜蛋白表达(IHC和Western blot均阴性),而人类MSTO-211H细胞(阳性对照)和小鼠小脑(阳性对照)蛋白阳性;② mRNA水平:所有小鼠细胞系均检测到Calb2 mRNA表达,但水平低于人类细胞系;③ 功能关联:钙网膜蛋白缺失不影响小鼠生存(p=0.7345)。
4.3 核心成果提炼
- 表达特征:小鼠MM及间皮瘤细胞系中钙网膜蛋白蛋白缺失,仅mRNA阳性,提示可能存在转录后调控(如miRNA抑制翻译)或低水平表达(低于检测限);
- 功能关联:钙网膜蛋白缺失不影响石棉暴露小鼠的生存(p=0.7345),说明其在小鼠间皮瘤发生中的作用不显著;
- 创新性:首次系统证明小鼠MM中钙网膜蛋白蛋白缺失,揭示物种差异(人类MM蛋白阳性,小鼠阴性),提示小鼠模型不适合用于钙网膜蛋白相关的生物标志物研究;
- 统计学结果:生存分析样本量为NF2+/−组n=18,NF2+/−CR−/−组n=30,log-rank检验p=0.7345;RT-qPCR显示所有小鼠细胞系Calb2 mRNA阳性(n=3,文献未明确重复次数)。
4.4 结论
本研究明确了小鼠MM中钙网膜蛋白的表达特征——蛋白缺失、mRNA阳性,且钙网膜蛋白缺失不影响小鼠生存。这一结果揭示了钙网膜蛋白在人类与小鼠MM中的物种差异,提示小鼠模型无法模拟人类MM中钙网膜蛋白的阳性表达,因此不适合用于钙网膜蛋白相关的生物标志物研究。研究为人类MM生物标志物的跨物种验证提供了重要参考,强调了物种差异在生物标志物研究中的关键作用。
