1. 领域背景与文献引入
文献英文标题:Gastric mucosa-associated lymphoid tissue lymphoma and Helicobacter pylori infection: a review of current diagnosis and management;发表期刊:Biomark Res;影响因子:未公开;研究领域:胃黏膜相关淋巴组织淋巴瘤(胃MALT淋巴瘤)与幽门螺杆菌(H. pylori)感染的诊断与管理。
胃MALT淋巴瘤是起源于胃黏膜边缘区B细胞的罕见淋巴瘤,与H. pylori感染密切相关。1984年Marshall和Warren首次从胃炎患者胃黏膜中分离出H. pylori,开启了胃感染性疾病研究;1991年Wotherspoon等发现H. pylori相关性胃炎与胃MALT淋巴瘤的病理关联,后续研究证实H. pylori根除治疗可使部分淋巴瘤消退,推动《美国胃肠病学会H. pylori感染管理指南》(2007年)等规范出台。当前研究热点包括:H. pylori根除治疗的疗效预测、分子标志物(如API2/MALT1融合基因)的预后价值、耐药菌株的应对策略;未解决的核心问题:中国胃MALT淋巴瘤发病率缺乏人群数据、部分病例因淋巴浸润不典型导致诊断困难、H. pylori对克拉霉素等抗生素的耐药率上升(中国部分地区达30%-100%)影响根除疗效,以及临床中存在过度治疗或漏诊。针对上述挑战,本文系统综述了胃MALT淋巴瘤与H. pylori感染的诊断方法(临床、内镜、病理及分子检测)和管理策略(H. pylori根除、放疗、化疗),总结诊断要点与治疗规范,为临床实践提供参考。
2. 文献综述解析
作者将现有研究分为“诊断体系”“治疗策略”“分子标志物与预后”三个维度,总结各领域进展与局限性。
现有研究的关键结论:临床症状(如消化不良、上腹痛)无特异性,内镜活检结合病理是诊断金标准;H. pylori根除治疗对78%的API2/MALT1阴性早期病例有效,阳性病例仅22%有效;低剂量放疗(≤30Gy)对局部进展病例的5年无复发生存率达97%,且保留胃功能;API2/MALT1融合基因通过激活NF-κB通路促进淋巴瘤发生,是不良预后因素。技术方法的优势:内镜多部位活检(包括胃窦、胃体等)提高样本代表性;免疫组化(如CD20、CD43染色)辅助识别B细胞浸润与异常表达;FISH检测API2/MALT1融合基因具有高敏感性和特异性。局限性:部分病例需依赖分子检测(如IgH基因重排),增加诊断成本;H. pylori耐药率上升导致根除失败率增加;中国缺乏发病率数据,临床存在诊断过度或漏诊。
本文创新价值:整合中英文文献(包括中国耐药研究与病例分析),系统总结诊断中的病理要点(如淋巴上皮病变、CD43异常表达)和治疗规范(如H. pylori根除后的随访策略),强调API2/MALT1融合基因的预后价值,填补中国相关研究的综述空白。
3. 研究思路总结与详细解析
本文为综述性研究,目标是综合阐述胃MALT淋巴瘤与H. pylori感染的诊断与管理进展,核心科学问题是“优化诊断流程以减少漏诊/过度诊断,及根据疾病分期与分子特征选择最佳治疗策略”,技术路线为“回顾关键研究→分类总结诊断方法→系统评价治疗策略→分析分子标志物预后价值→提出临床建议”。
3.1 诊断方法的综合分析
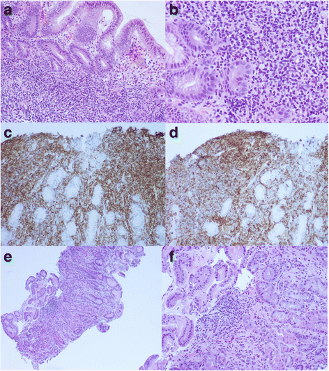
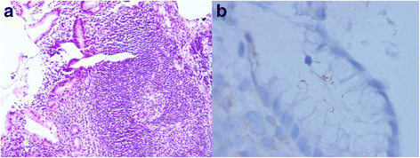
实验目的是总结胃MALT淋巴瘤的诊断流程与关键要点。方法细节包括:临床症状评估(消化不良、上腹痛等);内镜检查观察黏膜增厚、溃疡等改变;多部位活检(每个部位至少2块组织,分别固定);病理组织学分析(HE染色观察淋巴浸润与淋巴上皮病变);免疫组化(CD20、CD43等染色识别B细胞浸润与异常表达);分子检测(FISH检测API2/MALT1融合基因、PCR检测IgH基因重排)。结果解读:临床症状无特异性,内镜下黏膜改变需结合活检;病理中“致密、单一形态的小淋巴细胞浸润”“淋巴上皮病变(淋巴细胞浸润腺体并破坏结构)”是诊断关键;免疫组化显示CD20+ B细胞浸润伴CD43异常表达支持诊断;API2/MALT1融合基因阳性病例占20%,提示对H. pylori根除治疗反应差(22% vs 78%,P<0.05)。产品关联:文献未提及具体实验产品,领域常规使用免疫组化抗体(如CD20、CD43)、FISH探针(API2/MALT1)及PCR试剂盒(IgH基因重排)。

3.2 治疗策略的系统评价
实验目的是评估不同治疗方法的疗效与安全性。方法细节纳入多项临床研究,包括H. pylori根除治疗(一线三联疗法:质子泵抑制剂+克拉霉素+阿莫西林;二线四联疗法:质子泵抑制剂+铋剂+四环素+甲硝唑)、低剂量放疗(≤30Gy)、系统化疗(R-CHOP方案:利妥昔单抗+环磷酰胺+多柔比星+长春新碱+泼尼松)。结果解读:H. pylori根除治疗对早期病例的完全缓解率达78%(API2/MALT1阴性),但耐药率上升(中国部分地区克拉霉素耐药率达30%-100%)导致失败率增加;低剂量放疗对局部进展病例的5年无复发生存率达91%,副作用(如恶心、厌食)短暂且可耐受;系统化疗仅用于晚期或转化为弥漫大B细胞淋巴瘤的病例,R-CHOP方案完全缓解率较高但副作用大(如骨髓抑制、脱发)。产品关联:文献未提及具体药物品牌,领域常规使用质子泵抑制剂(如奥美拉唑)、抗生素(如克拉霉素、甲硝唑)、化疗药物(如利妥昔单抗、环磷酰胺)。

4. Biomarker研究及发现成果解析
本文涉及的Biomarker包括“幽门螺杆菌(H. pylori)”“API2/MALT1融合基因”“IgH基因重排”,分别用于病因学诊断、预后判断与辅助诊断。
Biomarker定位与筛选逻辑
- H. pylori:病因学Biomarker,来源为胃活检样本,通过组织学染色(HE)或免疫组化验证,与胃MALT淋巴瘤发生密切相关;
- API2/MALT1融合基因:预后Biomarker,来源为肿瘤组织,通过FISH或RT-PCR检测,阳性率约20%;
- IgH基因重排:诊断Biomarker,来源为肿瘤组织,通过PCR检测,辅助诊断不典型病例。
研究过程与结果
- H. pylori:验证方法为HE染色、免疫组化,特异性表现为90%以上早期病例存在H. pylori感染,敏感性受活检部位(多部位活检提高阳性率)与PPI使用(需停用2周)影响;
- API2/MALT1融合基因:验证方法为FISH(双色彩色断裂探针)或RT-PCR,敏感性为检测20%的病例,特异性表现为阳性病例对H. pylori根除治疗的反应率显著降低(22% vs 78%,P<0.05),且中位生存期更短;
- IgH基因重排:验证方法为PCR(使用Biomed-2引物),敏感性为检测90%的B细胞淋巴瘤,特异性需结合病理与免疫组化结果(避免假阳性/阴性)。
核心成果提炼
- H. pylori:病因学Biomarker,是早期病例的治疗靶点,根除后78%的API2/MALT1阴性病例完全缓解;
- API2/MALT1融合基因:预后Biomarker,阳性病例预后差,5年生存率显著低于阴性病例;
- IgH基因重排:诊断Biomarker,辅助解决不典型病例的诊断问题(如淋巴浸润不明显时)。
创新性:首次综合阐述中国人群中H. pylori的耐药率数据(30%-100%),并强调API2/MALT1融合基因在中国病例中的预后价值(阳性率14%-22%),为中国临床实践提供针对性参考。
