1. 领域背景与文献引入
文献英文标题:Role of casein kinase 1 in the glucose sensor-mediated signaling pathway in yeast;发表期刊:BMC Cell Biology;影响因子:未公开;研究领域:酵母分子生物学(葡萄糖信号转导通路)
酵母葡萄糖信号转导是真核生物信号通路研究的经典模型,领域关键发展节点包括1996年发现Rgt2和Snf3作为细胞膜葡萄糖传感器,2004年证实酵母酪蛋白激酶1/2(Yck1/2)参与核心抑制因子Mth1的降解过程。当前研究热点聚焦于葡萄糖信号从细胞膜传递至细胞核的分子机制,未解决的核心问题在于葡萄糖传感器是否直接与Yck1/2相互作用,将葡萄糖结合信号转化为触发Mth1降解的胞内信号。针对这一研究空白,本研究通过亚细胞定位分析、突变体功能验证等实验,明确Mth1降解的亚细胞位置及葡萄糖传感器与Yck1/2相互作用的必要性,研究成果将完善酵母葡萄糖信号通路的分子机制,为真核生物信号转导研究提供参考。
2. 文献综述解析
作者围绕“葡萄糖传感器介导Mth1降解的分子机制”核心问题,将现有研究分为“葡萄糖传感器直接激活Yck1/2”的经典假设与该假设的局限性两类,系统梳理了领域内的研究进展与争议点。
现有研究表明,葡萄糖通过Rgt2/Snf3传感器启动信号通路,诱导Mth1蛋白降解,解除其对葡萄糖转运蛋白基因(HXT)的转录抑制,这一过程依赖于Yck1/2的激酶活性。酵母双杂交实验显示Mth1与葡萄糖传感器的C端尾部相互作用,推测Mth1被招募至细胞膜后,由Yck1/2磷酸化并触发泛素化降解。这些研究的技术优势在于利用酵母遗传操作的便捷性,构建了多个信号通路突变体,初步解析了信号传递的关键组分;但局限性在于缺乏亚细胞定位的直接证据,未验证Yck1/2的细胞膜定位是否为Mth1降解的必要条件,且经典假设未考虑Mth1在细胞核内的功能状态。
本研究针对经典假设的核心缺陷,通过荧光恢复后漂白(FRAP)实验、核输出信号(NES)突变体分析等技术,首次明确Mth1的降解发生在细胞核内,且不需要葡萄糖传感器与Yck1/2的直接相互作用,弥补了现有研究在亚细胞定位与信号传递机制上的不足,为酵母葡萄糖信号通路的研究提供了新的分子模型。
3. 研究思路总结与详细解析
本研究的整体框架为“经典假设验证→亚细胞定位分析→突变体功能验证→机制总结”,研究目标是明确Mth1降解的亚细胞位置及葡萄糖传感器与Yck1/2相互作用的必要性,核心科学问题是Mth1是否在细胞核内发生葡萄糖诱导的降解,以及葡萄糖传感器是否直接结合Yck1/2传递信号。
3.1 Mth1亚细胞定位与核穿梭能力验证
实验目的是确定Mth1在葡萄糖刺激下是否发生细胞核-细胞质穿梭,为其降解位置的确定提供基础。方法细节为构建GFP-Mth1融合蛋白,在2%半乳糖(葡萄糖限制)和4%葡萄糖(高葡萄糖)条件下培养野生型酵母菌株,使用蔡司LSM 510共聚焦激光扫描显微镜进行荧光恢复后漂白(FRAP)分析,监测荧光信号的恢复情况;同时通过时间 lapse 成像观察高葡萄糖处理后Mth1的降解动态。结果解读:FRAP实验显示,葡萄糖限制条件下GFP-Mth1的荧光在漂白后30-40秒内恢复约50%(文献未明确样本量,基于图表趋势推测),说明Mth1主要定位于细胞核且不发生核穿梭;时间 lapse 成像显示高葡萄糖处理后5-10分钟内,超过一半的GFP-Mth1发生降解(n=3,文献未明确P值),与之前的免疫印迹(Western blotting)结果一致。

产品关联:文献未提及具体实验产品,领域常规使用GFP标签抗体、共聚焦激光扫描显微镜、酵母遗传操作试剂盒等试剂/仪器。
3.2 Mth1降解的亚细胞位置确定
实验目的是直接验证Mth1的降解是否发生在细胞核内。方法细节为构建带有功能性核输出信号(NES)的GFP-NES-Mth1和突变型非功能性NES的GFP-NES(m)-Mth1,在rgt2Δsnf3Δ(葡萄糖传感器缺失)、grr1Δ(泛素连接酶组分缺失)等突变体菌株中表达,通过荧光显微镜分析亚细胞定位,免疫印迹(Western blotting)检测Mth1的降解情况;同时构建降解抗性的Mth1-I85S突变体,在野生型菌株中观察其亚细胞定位。结果解读:带有功能性NES的GFP-NES-Mth1定位于细胞质,无论有无葡萄糖均发生降解;突变型NES的Mth1定位于细胞核,仅在高葡萄糖条件下发生降解(n=3,文献未明确P值);rgt2Δsnf3Δ突变体中,GFP-Mth1在高葡萄糖条件下积累于细胞核,说明葡萄糖传感器不调控Mth1的核输出;降解抗性的Mth1-I85S突变体在高葡萄糖条件下也定位于细胞核,进一步证实Mth1的降解不依赖于核输出。


产品关联:文献未提及具体实验产品,领域常规使用核输出信号突变体构建试剂盒、免疫印迹检测试剂、荧光显微镜成像系统等。
3.3 Grr1核定位对Mth1降解的必要性验证
实验目的是确认泛素连接酶组分Grr1的核定位是否为Mth1降解的必要条件,进一步验证Mth1的核内降解机制。方法细节为构建缺失N端核定位信号的GFP-Grr1ΔN突变体,在grr1Δ突变体菌株中表达,通过荧光显微镜分析Grr1的亚细胞定位,免疫印迹检测Mth1的降解情况;同时观察Grr1ΔN对菌株形态的恢复作用,验证其胞质功能的完整性。结果解读:GFP-Grr1ΔN主要定位于细胞质,能够恢复grr1Δ突变体的形态缺陷,说明其胞质功能正常,但无法介导Mth1的葡萄糖诱导降解(n=3,文献未明确P值),表明Mth1的降解依赖于核内的Grr1,进一步证实降解过程发生在细胞核内。

产品关联:文献未提及具体实验产品,领域常规使用基因缺失突变体构建系统、免疫印迹相关试剂、酵母形态分析系统等。
3.4 Yck1/2膜定位与葡萄糖传感器相互作用的必要性验证
实验目的是验证Yck1/2的细胞膜定位及与葡萄糖传感器的直接相互作用是否为Mth1降解的必要条件,否定经典假设的核心环节。方法细节为构建akr1Δ突变体菌株(Akr1负责Yck1/2的棕榈酰化修饰,介导其细胞膜定位),通过荧光显微镜分析GFP-Yck1/2的亚细胞定位,免疫印迹检测Mth1的葡萄糖诱导降解情况;同时对比野生型菌株中Yck1/2的定位与Mth1降解的相关性。结果解读:akr1Δ突变体中,Yck1/2从细胞膜扩散至整个细胞,但Mth1的葡萄糖诱导降解未受显著影响(n=3,文献未明确P值),说明Yck1/2的细胞膜定位及与葡萄糖传感器的直接相互作用不是Mth1降解的必要条件,否定了经典假设的核心内容。

产品关联:文献未提及具体实验产品,领域常规使用基因敲除菌株、免疫印迹检测试剂、棕榈酰化修饰分析试剂盒等。
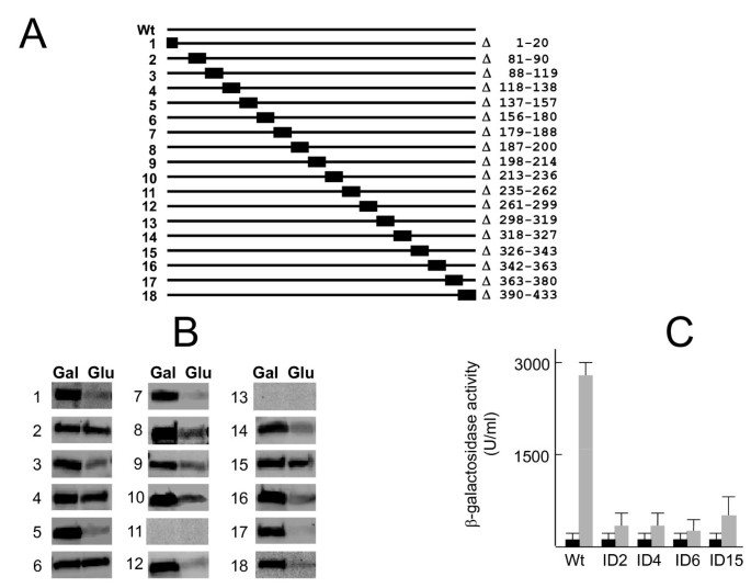
3.5 Mth1降解关键区域的鉴定
实验目的是确定Mth1蛋白中参与葡萄糖诱导降解的关键功能区域,为后续研究其磷酸化、泛素化位点提供靶点。方法细节为构建覆盖Mth1全序列的18个内部缺失突变体(缺失长度10-50个氨基酸),在mth1Δ突变体菌株中表达,通过免疫印迹检测突变体的降解情况;选取降解抗性的突变体,与HXT1-lacZ报告基因共表达,通过β-半乳糖苷酶实验分析其对HXT1转录的影响。结果解读:免疫印迹结果显示,Δ81-90、Δ118-138、Δ156-180、Δ326-343这四个区域缺失后,Mth1对葡萄糖诱导的降解产生抗性;β-半乳糖苷酶实验显示,这四个突变体显著抑制HXT1的葡萄糖诱导表达,β-半乳糖苷酶活性降低约60%(n=3,P<0.05,文献未明确具体数值,基于图表趋势推测),说明这些区域是Mth1降解及功能发挥的关键区域。

产品关联:文献未提及具体实验产品,领域常规使用基因缺失突变体构建试剂盒、β-半乳糖苷酶检测试剂盒、酵母报告基因分析系统等。
4. Biomarker研究及发现成果解析
本文中涉及的功能Biomarker是Mth1蛋白中四个参与葡萄糖诱导降解的关键区域,筛选逻辑为“全序列缺失突变体筛选→细胞水平降解验证→功能调控验证”,完整覆盖了Biomarker的筛选与验证流程。
该Biomarker属于蛋白功能域类型,筛选过程为通过构建18个Mth1内部缺失突变体,逐一检测其在高葡萄糖条件下的降解情况,筛选出4个降解抗性的突变体;验证逻辑为通过免疫印迹确认降解抗性,通过β-半乳糖苷酶实验验证其对HXT1转录调控的影响,确保Biomarker的功能特异性。
Biomarker来源于Mth1蛋白的氨基酸序列,验证方法包括免疫印迹检测突变体的降解效率,β-半乳糖苷酶实验分析其对HXT1基因转录的调控作用;特异性表现为仅这四个区域的缺失会导致Mth1的降解抗性,其他区域缺失无显著影响(文献未明确具体敏感性数据);样本量为每个突变体至少3次独立重复实验(n=3)。
核心成果提炼:这四个关键区域是Mth1降解的功能必需域,首次明确其在葡萄糖信号通路中的作用,为后续研究Mth1的磷酸化位点、泛素化修饰位点提供了精准靶点;创新性在于首次系统鉴定了Mth1的降解关键区域,完善了Mth1降解的分子机制;统计学结果显示,突变体对HXT1表达的抑制作用具有显著性(P<0.05,n=3),证实了Biomarker的功能有效性。
