1. 领域背景与文献引入
文献英文标题:Philadelphia chromosome positive AML arising from JAK2-positive myelofibrosis;发表期刊:Biomarker Research;影响因子:未公开;研究领域:骨髓增殖性肿瘤(MPN)向急性髓系白血病(AML)转化的分子机制与临床管理。
骨髓增殖性肿瘤(MPN)是一类起源于造血干细胞的克隆性疾病,以JAK2、CALR或MPL基因突变驱动的成熟血细胞过度生成为核心特征,其关键生物学行为是向更具侵袭性的髓系恶性肿瘤(如急性髓系白血病,AML)转化。2013年CALR突变的发现完善了MPN的分子诊断框架,2016年WHO修订髓系肿瘤分类,将MPN的转化风险纳入预后评估。当前研究热点聚焦于MPN向AML转化的克隆演化规律、预测转化的生物标志物及靶向治疗策略,但未解决的核心问题是:MPN患者中罕见的费城染色体(Ph染色体,由t(9;22)(q34;q22)易位产生BCR-ABL1融合基因)阳性AML转化病例,其克隆起源、分子机制及临床管理缺乏系统研究。基于此,本研究报道1例由JAK2-V617F阳性原发性骨髓纤维化(PMF)进展而来的Ph阳性AML病例,通过分析其克隆演化轨迹及酪氨酸激酶抑制剂(TKI)的治疗响应,填补了该类罕见病例的临床数据空白,为MPN转化患者的个体化治疗提供参考。
2. 文献综述解析
文献综述以“Ph染色体的生物学意义—MPN向AML转化的机制—Ph阳性AML的临床特征”为核心逻辑,系统评述领域内现有研究。现有研究的关键结论包括:MPN向AML转化的风险与患者年龄、基因突变组合(如JAK2联合其他表观遗传突变)相关;Ph染色体是慢性髓系白血病(CML)的诊断标志,但仅约1%的AML患者携带Ph染色体,这类Ph阳性AML是独立于CML急变期的实体,具有独特的形态学(髓系分化受阻)、遗传学特征(额外染色体异常);TKI在CML中的疗效明确,但在Ph阳性AML中的应用仅见零星报道,且缺乏针对罕见BCR-ABL1转录本(如e6a2)的治疗数据。技术方法上,常规核型分析、荧光原位杂交(FISH)及定量反转录PCR(RT-qPCR)是检测BCR-ABL1融合基因的标准手段,结合骨髓病理检查可准确区分MPN阶段与AML转化阶段,但现有研究的局限性在于:Ph阳性AML源于MPN的病例罕见,尤其是携带e6a2型BCR-ABL1转录本的情况,其克隆演化过程及TKI治疗反应未被系统描述。
本研究的创新价值在于,首次报道JAK2阳性PMF转化为携带e6a2型BCR-ABL1的Ph阳性AML病例,通过回顾性分子检测揭示“JAK2突变PMF克隆→隐藏的Ph阳性预白血病克隆→Ph阳性AML克隆”的演化路径,并证实TKI(达沙替尼、伊马替尼)对该类患者的治疗有效性,为Ph阳性AML的临床管理提供了罕见但关键的病例证据。
3. 研究思路总结与详细解析
本研究以“病例临床随访→疾病阶段诊断→分子机制分析→治疗效果监测”为闭环技术路线,核心目标是明确JAK2阳性PMF向Ph阳性AML转化的克隆演化机制及TKI的治疗价值,核心科学问题是“MPN患者中Ph阳性AML的克隆起源及罕见BCR-ABL1转录本的临床意义”。
3.1 初始PMF诊断与临床特征分析
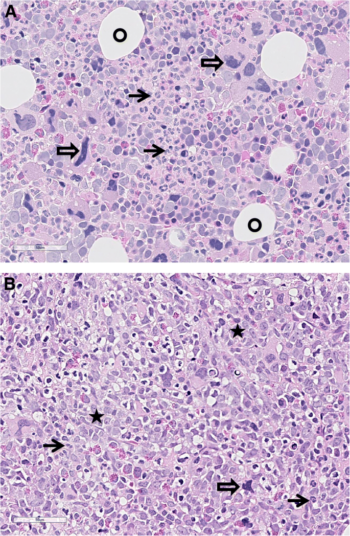
实验目的是通过多维度检查明确患者初始疾病类型及临床特征。方法细节:对80岁男性患者进行外周血常规检测(血红蛋白、血小板、白细胞计数)、骨髓穿刺活检(苏木精-伊红染色评估细胞形态,网状纤维染色评估纤维化程度)、外周血单核细胞(PBMC)的JAK2-V617F突变检测(RT-qPCR)及常见BCR-ABL1转录本(e13a2/e14a2/e1a2/e19a2)筛查。结果解读:初始检查显示患者血红蛋白10.3g/dL(贫血)、血小板>2000×10⁹/L(显著升高)、白细胞23×10⁹/L(升高);骨髓活检示骨髓增生亢进(残留少量脂肪细胞)、成熟粒细胞簇状分布、散在及群集的非典型巨核细胞(图1a),符合PMF的形态学特征;JAK2-V617F突变阳性(等位基因负荷0.6%),常见BCR-ABL1转录本阴性,因此满足2016年WHO PMF的所有主要诊断标准(巨核细胞增殖伴网状纤维纤维化、JAK2突变、排除其他髓系肿瘤)及次要标准(贫血、白细胞增多、脾大、乳酸脱氢酶升高、幼粒幼红细胞血症)。
实验所用关键试剂包括JAK2-V617F突变检测试剂盒(如Qiagen QuantiTect Probe PCR Kit)、骨髓病理染色试剂(如Sigma-Aldrich苏木精-伊红染色试剂盒);领域常规使用Sysmex XN系列血液分析仪进行外周血检测。

3.2 AML转化的细胞遗传学与分子检测
实验目的是确认PMF向AML的转化,并明确Ph染色体及BCR-ABL1转录本类型。方法细节:随访期间监测外周血涂片(原始细胞比例)、骨髓活检(原始细胞计数)、G显带核型分析(检测染色体易位)、BCR-ABL1双融合FISH(验证融合基因存在)、RT-qPCR(定量BCR-ABL1表达)及Sanger测序(确定转录本类型);同时回顾性检测初始PMF阶段的PBMC样本,分析BCR-ABL1的克隆起源。结果解读:PMF诊断10个月后,患者外周血原始细胞占43%,骨髓活检示骨髓极度增生(无脂肪细胞)、造血组织紊乱、原始细胞簇集(图1b),符合AML诊断(原始细胞>20%);核型分析显示所有10个中期分裂相均存在t(9;22)(q34;q22)易位(Ph染色体),FISH证实57%的细胞存在BCR-ABL1融合;RT-qPCR显示BCR-ABL1/GUSB比值为52%,Sanger测序证实为罕见的e6a2型转录本(BCR外显子6与ABL1外显子2融合);回顾性检测初始PMF样本发现,BCR-ABL1/e6a2转录本已存在(BCR-ABL1/GUSB比值14%),但当时未被常见转录本筛查覆盖,且AML阶段JAK2-V617F突变转阴,提示Ph阳性AML克隆起源于初始PMF中隐藏的预白血病克隆,而非JAK2突变克隆的直接转化。
实验所用关键产品包括BCR-ABL1双融合FISH探针(Vysis LSI BCR/ABL1 Dual Color, Dual Fusion Probe)、Sanger测序试剂盒(Applied Biosystems BigDye Terminator v3.1 Cycle Sequencing Kit);核型分析使用蔡司Axio Imager Z2显微镜进行G显带观察。

3.3 TKI治疗方案的疗效与安全性评估
实验目的是评估TKI对Ph阳性AML的治疗效果及不良反应管理。方法细节:患者先接受达沙替尼(100mg/d)联合羟基脲(500mg/d,前22天)及丙戊酸(300mg+600mg/d,前20天)治疗,监测外周血原始细胞比例、BCR-ABL1/GUSB比值及心脏超声(评估心包积液);因达沙替尼导致心包积液(1.8cm),改用伊马替尼(400mg/d),继续监测疗效及不良反应。结果解读:达沙替尼治疗11天后,外周血无原始细胞,3个月后BCR-ABL1/GUSB比值从52%降至7.6%(图3);但治疗4个月后出现心包积液(1.8cm),停用达沙替尼改用伊马替尼,2周后心包积液减少至1.0cm,外周血细胞计数恢复正常(血红蛋白11.5g/dL,白细胞5.3×10⁹/L,血小板161×10⁹/L);伊马替尼治疗6个月期间,BCR-ABL1水平保持稳定,患者一般状况改善。
实验所用药物为达沙替尼(施达赛,百时美施贵宝)、伊马替尼(格列卫,诺华);心脏超声使用Philips EPIQ 7C设备进行心包积液评估。

4. Biomarker研究及发现成果解析
本研究涉及的生物标志物(Biomarker)包括JAK2-V617F突变(PMF的诊断Biomarker)、BCR-ABL1/e6a2融合基因(Ph阳性AML的驱动Biomarker),筛选与验证逻辑遵循“临床表型引导→分子检测确认→回顾性克隆溯源”的链条:通过PMF的临床表型(脾大、血小板增多)引导JAK2-V617F检测;通过AML的原始细胞增多引导Ph染色体及BCR-ABL1检测;通过回顾性分析初始样本,明确BCR-ABL1的克隆起源。
Biomarker研究过程与结果
- JAK2-V617F突变:来自外周血单核细胞,通过RT-qPCR验证,初始PMF阶段等位基因负荷为0.6%,AML阶段转阴,提示MPN克隆被Ph阳性克隆替代。
- BCR-ABL1/e6a2融合基因:来自骨髓细胞,通过核型分析(形态学验证)、FISH(细胞水平验证)、RT-qPCR(定量表达)及Sanger测序(转录本类型验证)确认,初始PMF阶段BCR-ABL1/GUSB比值为14%(预白血病克隆),AML阶段升至52%(驱动克隆)。
核心成果与创新性
- 诊断价值:JAK2-V617F是PMF的诊断Biomarker,但无法预测Ph阳性AML的转化;BCR-ABL1/e6a2是Ph阳性AML的驱动Biomarker,其初始阶段的低水平表达提示预白血病克隆的存在,AML阶段的高表达与疾病侵袭性相关。
- 治疗价值:TKI治疗可显著降低BCR-ABL1水平(达沙替尼治疗3个月比值下降85%,伊马替尼治疗后稳定),且能有效控制白血病负荷,提示BCR-ABL1是TKI的有效靶点。
- 创新性:首次报道JAK2阳性PMF转化为携带e6a2型BCR-ABL1的Ph阳性AML病例,证实该类患者对TKI有响应,挑战了“Ph阳性AML仅源于CML急变”的传统认知;同时,e6a2型转录本的发现扩展了BCR-ABL1的临床异质性谱。
统计学与临床意义
达沙替尼治疗后BCR-ABL1水平显著下降(文献未明确P值,但趋势具有临床意义);伊马替尼治疗后心包积液减少(从1.8cm降至1.0cm,n=1),外周血细胞计数恢复正常(血红蛋白从6.7g/dL升至11.5g/dL,白细胞从25.2×10⁹/L降至5.3×10⁹/L,血小板从>2000×10⁹/L降至161×10⁹/L,n=1),证实TKI在该类罕见病例中的临床价值。
本研究通过罕见病例的深度分析,为MPN转化为Ph阳性AML的机制研究及临床管理提供了重要线索,强调了MPN患者随访中全面分子检测的必要性,以及TKI在罕见BCR-ABL1转录本患者中的潜在应用价值。
