1. 领域背景与文献引入
文献英文标题:Proliferative ductular reactions correlate with hepatic progenitor cell and predict recurrence in HCC patients after curative resection;发表期刊:Cell & Bioscience;影响因子:未公开;研究领域:肝细胞癌预后与肝祖细胞相关研究
肝细胞癌是全球范围内难以治愈的恶性肿瘤之一,术后高复发率是影响患者生存的核心问题,领域共识:当前研究多聚焦于寻找特异性诊断及预后生物标志物以指导临床管理。胆管反应作为肝干/祖细胞激活的表现,在急慢性肝病中已被广泛报道,但关于其增殖状态(PI-DR)与肝祖细胞的关联及其在肝细胞癌中的预后价值尚未明确。现有研究多单独关注胆管反应或肝祖细胞,未深入探讨增殖性胆管反应与肝祖细胞标志物的直接关联,也未明确其作为独立预后因子的价值,这一研究空白为本次研究提供了学术必要性,即明确PI-DR是否可作为肝祖细胞激活的替代指标及独立预后因子,为肝细胞癌术后风险分层提供新依据。
2. 文献综述解析
作者围绕胆管反应的病理意义、肝祖细胞的特征及两者与肝细胞癌的关系展开综述,分类维度涵盖病理机制、标志物表达及临床预后关联三个层面。现有研究显示,胆管反应在慢性肝病中与炎症、纤维化程度密切相关,肝祖细胞标志物如EpCAM、OV6等在肝细胞癌中的表达与不良预后相关,部分研究证实癌旁微环境对肝细胞癌复发的影响大于肿瘤本身,但这些研究存在局限性,未将增殖性胆管反应与肝祖细胞标志物的表达进行整合分析,也未系统验证其作为独立预后因子的价值。本研究通过整合组织芯片、免疫组化及生存分析,首次明确了PI-DR与癌旁及肿瘤内肝祖细胞标志物的正相关关系,并验证了其作为肝细胞癌术后总生存和无病生存独立预测因子的价值,弥补了领域内对增殖性胆管反应预后意义研究的不足,为肝细胞癌预后评估提供了新的研究方向。
3. 研究思路总结与详细解析
本研究以明确增殖性胆管反应(PI-DR)与肝祖细胞标志物的关联及其在肝细胞癌术后预后中的价值为目标,核心科学问题聚焦于PI-DR是否可作为肝祖细胞激活的有效替代指标及独立预后因子,技术路线遵循“队列构建→标志物检测→关联分析→预后验证”的闭环逻辑,通过组织芯片结合免疫组化技术,系统分析PI-DR与临床病理特征、肝祖细胞标志物及患者生存的关系。
3.1 研究队列构建与临床数据收集
实验目的是建立包含肝细胞癌患者肿瘤及癌旁组织的研究队列,获取完整的临床病理及随访数据以支持后续分析。方法细节为收集1997年至2007年东方肝胆外科医院120例肝细胞癌根治术后患者的福尔马林固定石蜡包埋标本,构建包含癌旁及肿瘤组织的组织芯片,收集患者性别、年龄、肿瘤大小、TNM分期、Edmondson分级、炎症及纤维化程度等临床病理数据,术后每2-3个月随访一次,直至2010年7月,记录患者复发及生存情况。结果解读显示,120例患者中男性占90.0%,中位年龄为50.1岁,随访结束时111例患者出现肿瘤复发,76例患者死亡,1、3、5年总生存率分别为92.3%、46.4%、32.6%(n=120),1、3、5年无病生存率分别为70.7%、14.7%、9.6%(n=120)。文献未提及具体实验产品,领域常规使用组织芯片构建仪、病理切片设备及随访数据管理系统等。
3.2 增殖性胆管反应与肝祖细胞标志物的免疫组化检测
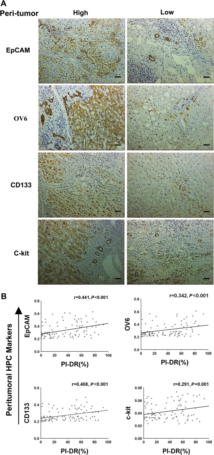
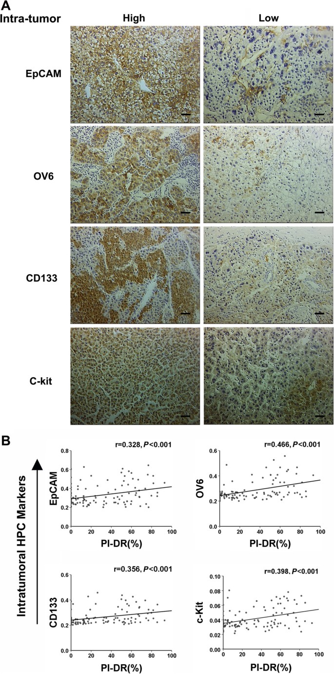
实验目的是检测癌旁组织中PI-DR的表达水平,以及癌旁和肿瘤组织中肝祖细胞标志物的表达状态,分析两者的关联。方法细节为采用免疫组化(IHC)染色,用细胞增殖核抗原(PCNA)标记胆管反应细胞的增殖状态,计算PI-DR(PCNA阳性胆管反应细胞占总胆管反应细胞的比例),同时检测癌旁及肿瘤组织中EpCAM、OV6、CD133、c-kit四种肝祖细胞标志物的表达,使用Image-Pro Plus软件分析免疫组化染色的积分光密度(IOD)以量化标志物表达水平。结果解读显示,30.8%的患者PI-DR≥50%,PI-DR与癌旁组织炎症程度(r=0.614,P<0.001,n=120)及纤维化分期(r=0.527,P<0.001,n=120)呈显著正相关;癌旁PI-DR与癌旁肝祖细胞标志物EpCAM(r=0.441,P<0.001)、OV6(r=0.342,P<0.001)、CD133(r=0.408,P<0.001)、c-kit(r=0.291,P=0.001)的表达均呈正相关,同时与肿瘤内上述四种标志物的表达也显著正相关(r值范围0.328-0.466,均P<0.001,n=120)。



文献未提及具体实验产品,领域常规使用PCNA抗体、各肝祖细胞标志物抗体、免疫组化检测试剂盒及图像分析软件等。
3.3 临床病理关联与预后价值验证
实验目的是分析PI-DR及肝祖细胞标志物与肝细胞癌临床病理特征的关联,验证PI-DR作为独立预后因子的价值。方法细节为采用卡方检验分析PI-DR及肝祖细胞标志物表达与临床病理参数的相关性,通过Kaplan-Meier法绘制总生存及无病生存曲线,采用Cox比例风险回归模型进行单因素及多因素预后分析。结果解读显示,高PI-DR(≥50%)患者的总生存中位数为25.3个月(95%CI 21.7-28.8),显著低于低PI-DR(<50%)患者的48.8个月(95%CI 31.3-66.3,P<0.001,n=120);高PI-DR患者的无病生存中位数为10.1个月(95%CI 7.0-13.2),显著低于低PI-DR患者的21.2个月(95%CI 18.4-24.1,P<0.001,n=120)。多因素分析显示,PI-DR是总生存(HR=3.316,95%CI 1.961-5.610,P<0.001)和无病生存(HR=2.618,95%CI 1.701-4.029,P<0.001)的独立预后因子。

文献未提及具体实验产品,领域常规使用SPSS等统计分析软件。
4. Biomarker研究及发现成果
本研究鉴定的核心生物标志物为癌旁增殖性胆管反应指数(PI-DR),其筛选与验证逻辑为通过组织芯片免疫组化检测PI-DR,分析其与肝祖细胞标志物的关联,再通过生存分析验证其预后价值,形成“标志物检测→关联分析→预后验证”的完整链条。
Biomarker定位:PI-DR属于病理形态学标志物,代表癌旁胆管反应细胞的增殖状态,可作为肝祖细胞激活的有效替代指标,筛选逻辑基于120例肝细胞癌患者的组织芯片,通过PCNA免疫组化标记量化胆管反应的增殖水平,验证逻辑涵盖与肝祖细胞标志物的关联分析及多因素预后回归验证。
研究过程详述:PI-DR的检测来源为肝细胞癌患者的癌旁组织标本,验证方法采用免疫组化染色结合图像分析,特异性方面,高PI-DR与炎症、纤维化程度及肝祖细胞标志物表达显著相关,敏感性方面,PI-DR≥50%可有效识别术后复发风险较高的患者,总生存曲线显示高PI-DR患者的生存时间显著缩短(P<0.001,n=120)。
核心成果提炼:PI-DR与癌旁及肿瘤内肝祖细胞标志物表达均呈显著正相关,可作为肝祖细胞激活的替代指标;同时,PI-DR是肝细胞癌术后总生存和无病生存的独立预后因子(HR=3.316,P<0.001;HR=2.618,P<0.001,n=120),首次明确了增殖性胆管反应在肝细胞癌预后预测中的独立价值,为肝细胞癌术后患者的风险分层提供了新的生物标志物,具有重要的临床指导意义。
