1. 领域背景与文献引入
文献英文标题:Kv1.3 channel blocker (ImKTx88) maintains blood–brain barrier in experimental autoimmune encephalomyelitis;发表期刊:Cell & Bioscience;影响因子:未公开;研究领域:神经炎症与自身免疫性疾病(多发性硬化)
领域共识:多发性硬化(MS)是一种典型的中枢神经系统(CNS)神经炎症性脱髓鞘疾病,血脑屏障(BBB)破坏及自身反应性T淋巴细胞浸润是其核心病理特征。实验性自身免疫性脑脊髓炎(EAE)是MS研究中最常用的动物模型,为解析MS发病机制与筛选治疗药物提供了重要工具。目前MS治疗领域的研究热点聚焦于免疫抑制靶点,其中Kv1.3通道作为效应记忆T细胞的关键调控分子,其阻滞剂已被证实可缓解EAE症状,但现有研究多关注其对T细胞活化的抑制作用,对BBB完整性的直接维护机制尚未明确。当前领域未解决的核心问题包括:Kv1.3通道阻滞剂是否可通过非免疫抑制途径维护BBB?其调控BBB的具体分子通路是什么?针对这一空白,本研究以高选择性Kv1.3通道阻滞剂ImKTx88为研究对象,系统探究其在EAE模型中对BBB的维护作用及潜在机制,为MS治疗提供新的作用靶点与理论依据。
2. 文献综述解析
作者将现有研究分为两类,一类聚焦MS/EAE中BBB破坏的分子机制,另一类关注Kv1.3通道阻滞剂的免疫治疗作用,通过对比两类研究的局限性,凸显本研究的创新价值。
现有MS/EAE中BBB破坏的机制研究表明,BBB完整性依赖于内皮细胞紧密连接蛋白(如occludin、ZO-1、claudin-5)的正常表达与分布,当BBB破坏时,紧密连接蛋白会出现丢失或重排;同时,内皮细胞黏附分子(ICAM-1、VCAM-1)的上调会促进淋巴细胞浸润,而Ang-1/Tie-2轴的下调则会削弱BBB的维护能力。这些研究明确了BBB破坏的关键分子事件,但未深入探讨免疫调控靶点对这些分子通路的直接影响。Kv1.3通道阻滞剂的免疫治疗研究显示,该类药物可通过抑制效应记忆T细胞的Ca²⁺内流来阻断细胞活化,从而缓解EAE症状,部分阻滞剂已进入临床前试验阶段,但多数研究存在选择性不足的问题,且未关注其对BBB的直接维护作用。通过对比现有研究的未解决问题,本研究的创新点在于:一是采用对Kv1.3通道选择性高达4200倍的ImKTx88,避免了非特异性作用的干扰;二是首次系统解析了Kv1.3通道阻滞剂通过激活Ang-1/Tie-2轴、降低IL-17产生来维护BBB的分子机制,填补了该领域的研究空白。
3. 研究思路总结与详细解析
本研究的整体框架为“EAE模型构建与药物干预→BBB多维度功能评估→分子机制解析→体内外验证”,核心科学问题是ImKTx88如何通过调控BBB相关分子通路来缓解EAE症状,技术路线遵循“假设-验证-结论”的闭环逻辑。
3.1 EAE模型构建与ImKTx88干预
实验目的是建立稳定的EAE大鼠模型,评估ImKTx88的体内治疗效果,明确预防给药与治疗给药的差异。方法细节为:选取6-8周龄雌性SD大鼠,用大鼠脑脊髓匀浆与完全弗氏佐剂(含结核分枝杆菌)乳化后足垫注射,辅以百日咳毒素诱导EAE;将大鼠随机分为对照组、EAE组、ImKTx88预防组(造模当日开始每日皮下注射100μg/kg ImKTx88)、治疗组(发病后开始给药),每日记录临床评分,造模后21天处死大鼠取组织样本。结果解读:组织病理学染色(苏木精-伊红染色、Luxol快蓝染色)显示,EAE大鼠小脑白质区出现大量炎症细胞浸润与脱髓鞘改变,ImKTx88预防组炎症评分为0.75±0.28(文献未明确样本量,P<0.01),治疗组为1.08±0.24(文献未明确样本量,P<0.05),均显著低于EAE组的2.58±0.37;脱髓鞘评分预防组为0.83±0.26(文献未明确样本量,P<0.05),治疗组为0.92±0.58(文献未明确样本量,P<0.05),显著低于EAE组的2.17±0.75;临床评分结果显示两组干预均显著降低EAE大鼠的症状严重程度。实验所用关键产品:Sigma-Aldrich的完全弗氏佐剂、百日咳毒素,R&D的ICAM-1抗体,Santa Cruz Biotechnology的VCAM-1抗体,Invitrogen的claudin-5抗体、ZO-1抗体,Abclonal的claudin-5抗体、ICAM-1抗体、VCAM-1抗体、Ang-1抗体、Tie-2抗体、GAPDH抗体。

3.2 BBB完整性功能检测
实验目的是直接评估ImKTx88对EAE大鼠BBB通透性的影响。方法细节为:造模后21天,尾静脉注射2%伊文思蓝染料,60分钟后用生理盐水灌注冲洗循环系统,取脑与脊髓组织,用甲酰胺提取染料后检测吸光度,定量分析BBB渗漏程度。结果解读:对照组大鼠伊文思蓝主要保留在循环系统中,EAE大鼠的小脑、脊髓组织中伊文思蓝含量为91.93±7.05μg/g(n=6,P<0.001),是对照组19.68±5.18μg/g的4倍以上;ImKTx88预防组伊文思蓝含量降至50.24±9.56μg/g(n=6,P<0.001),治疗组降至37.96±5.37μg/g(n=6,P<0.001),均显著抑制了BBB渗漏。

3.3 紧密连接蛋白表达与分布验证
实验目的是解析ImKTx88对BBB紧密连接结构的调控作用。方法细节为:采用实时荧光定量PCR(qRT-PCR)检测小脑组织中occludin、ZO-1、claudin-5的mRNA表达水平,蛋白免疫印迹检测蛋白表达量;通过免疫荧光染色观察claudin-5在脑血管内皮细胞的分布形态。结果解读:qRT-PCR结果显示EAE组三种紧密连接蛋白的mRNA水平均显著下调,ImKTx88干预后恢复至接近对照组水平;蛋白免疫印迹结果与mRNA表达趋势一致,EAE组蛋白表达量显著降低,干预后回升;免疫荧光染色显示,对照组claudin-5呈连续线性分布于血管内皮细胞,EAE组线性结构丢失,呈不连续的荧光聚集,ImKTx88预防与治疗组均恢复了claudin-5的连续线性分布。


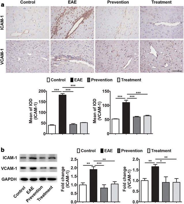
3.4 内皮黏附分子与Ang-1/Tie-2轴检测
实验目的是探究ImKTx88维护BBB的分子通路。方法细节为:采用免疫组化(IHC)检测小脑组织中ICAM-1、VCAM-1的表达与分布,蛋白免疫印迹验证其蛋白表达量;通过qRT-PCR与蛋白免疫印迹检测Ang-1、Tie-2的mRNA与蛋白表达水平。结果解读:免疫组化定量分析显示,EAE组ICAM-1的整合光密度(IOD)为181.6±6.75(n=3,P<0.001),VCAM-1为110.2±7.96(n=3,P<0.001),均显著高于对照组的40.08±2.29与51.88±0.92;ImKTx88干预后两种黏附分子的表达量均降至接近对照组水平。EAE组Ang-1与Tie-2的mRNA及蛋白水平均显著下调,ImKTx88预防与治疗组均显著上调了两者的表达,提示Ang-1/Tie-2轴参与了ImKTx88对BBB的维护作用。


3.5 IL-17表达的体内外机制验证
实验目的是明确ImKTx88对IL-17产生的调控作用,及其与BBB维护的关联。方法细节为:体内实验采用qRT-PCR与酶联免疫吸附试验(ELISA)检测大鼠小脑组织中IL-17的mRNA与蛋白水平;体外实验分离大鼠外周血单个核细胞(PBMC),用不同浓度的ImKTx88预处理60分钟后,伴刀豆球蛋白A(ConA)刺激24小时,检测上清液中IL-17的含量。结果解读:体内实验显示EAE组IL-17的表达量是对照组的2倍以上,ImKTx88干预后显著降低了IL-17的表达;体外实验中,ImKTx88以剂量依赖方式抑制PBMC分泌IL-17,10μM组的IL-17水平显著低于ConA刺激组(P<0.01),提示ImKTx88可通过抑制Th17细胞的IL-17产生来减少BBB破坏。

4. Biomarker研究及发现成果
本研究涉及的Biomarker包括BBB功能相关的调控分子(Ang-1、Tie-2)、炎症效应分子(IL-17)及紧密连接结构分子(occludin、ZO-1、claudin-5),通过体内外多维度验证,明确了这些Biomarker在EAE中BBB破坏与维护中的作用。
Biomarker定位:IL-17作为EAE中BBB破坏的关键效应Biomarker,其筛选逻辑基于MS患者CNS病灶中IL-17高表达的已知结论,本研究通过EAE模型验证其与BBB破坏的关联;Ang-1/Tie-2轴作为BBB维护的调控Biomarker,筛选逻辑基于其在血管稳态中的核心作用,本研究验证了其在EAE中的表达变化及ImKTx88的调控作用;紧密连接蛋白作为BBB结构完整性的Biomarker,直接反映BBB的功能状态。研究过程详述:Biomarker来源为EAE大鼠的小脑组织及体外培养的PBMC;验证方法包括qRT-PCR、蛋白免疫印迹、免疫组化、ELISA等多种技术;特异性与敏感性数据显示,IL-17在EAE组的表达量较对照组升高2倍以上,Ang-1在EAE组的表达量显著下调,ImKTx88干预后可恢复至接近对照组水平;紧密连接蛋白的表达量与BBB通透性呈负相关,可有效反映BBB的结构完整性。核心成果提炼:IL-17可作为EAE疾病进展与BBB破坏的潜在预后Biomarker,Ang-1/Tie-2轴可作为BBB维护的治疗靶点;本研究的创新性在于首次发现Kv1.3通道阻滞剂可通过调控这些Biomarker的表达来维护BBB,为MS治疗提供了新的Biomarker组合与作用机制;其中IL-17的抑制作用具有统计学显著性(P<0.01),Ang-1的上调作用在预防与治疗组均有显著差异(P<0.05)。
