1. 领域背景与文献引入
文献英文标题:Secreted frizzled-related protein 4 expression is positively associated with responsiveness to Cisplatin of ovarian cancer cell lines in vitro and with lower tumour grade in mucinous ovarian cancers;发表期刊:BMC Cell Biol;影响因子:未公开;研究领域:卵巢癌化疗耐药与生物标志物研究。
卵巢癌是女性第五大癌症死因,上皮性卵巢癌为最常见病理类型,其高死亡率与晚期诊断及化疗耐药密切相关。顺铂是卵巢癌一线化疗药物,但约30%患者初始耐药,且多数敏感患者最终会发生获得性耐药,化疗耐药已成为卵巢癌治疗的核心障碍。近年研究表明,促凋亡基因失调是化疗耐药发生的关键机制——分泌型卷曲相关蛋白(sFRPs)家族作为Wnt信号通路的天然拮抗剂,通过与卷曲受体(Frizzled)竞争结合Wnt配体,抑制Wnt通路活性并诱导细胞凋亡。现有研究显示,sFRP4在乳腺癌、间皮瘤等肿瘤中作为预后标志物,其重表达可抑制肿瘤增殖,但sFRP4在卵巢癌化疗敏感性(尤其是顺铂应答)中的作用及临床价值尚未明确。本研究针对这一空白,系统探究sFRP4与卵巢癌细胞顺铂敏感性的关联及临床意义,为卵巢癌化疗策略优化提供生物标志物依据。
2. 文献综述解析
文献综述以“sFRPs家族功能→卵巢癌化疗耐药机制→sFRP4在其他肿瘤中的研究现状”为核心逻辑,梳理现有研究的核心结论与局限。
现有研究明确:sFRPs通过拮抗Wnt通路发挥促凋亡作用;卵巢癌化疗耐药的关键机制是促凋亡基因(如sFRPs)失调;sFRP4在其他肿瘤中是预后标志物,其重表达可诱导凋亡,基因甲基化沉默与肿瘤进展相关。现有研究的优势在于奠定了sFRPs的功能基础,但未涉及sFRP4与卵巢癌顺铂敏感性的直接关联,也未在临床卵巢癌样本中验证其与肿瘤特征的关系。
本研究的创新价值在于:首次在卵巢癌敏感/耐药细胞系中解析sFRP4的表达差异,通过功能实验(过表达/沉默)直接验证其对顺铂敏感性的调控作用,并结合临床黏液性卵巢癌样本揭示sFRP4与肿瘤分级的负相关,填补了卵巢癌化疗耐药生物标志物的研究空白。
3. 研究思路总结与详细解析
本研究的目标是探究sFRP4对卵巢癌顺铂敏感性的调控作用及生物标志物价值;核心科学问题是sFRP4表达与顺铂敏感性的关联及机制;技术路线为“细胞系表达分析→顺铂处理功能验证→转染/沉默实验→Wnt通路机制探究→临床样本验证”的闭环。
3.1 卵巢癌细胞系sFRP4表达谱分析
实验目的:检测不同化疗敏感性卵巢癌细胞系及正常细胞系的sFRP4 mRNA与蛋白表达差异。
方法细节:选取正常卵巢细胞系IOSE、顺铂敏感细胞系A2780、顺铂耐药细胞系A2780-Cis、阿霉素耐药细胞系A2780-ADR,采用实时定量PCR(qRT-PCR)检测mRNA水平,Western blot检测蛋白水平,实验重复3次(n=3)。
结果解读:sFRP4 mRNA在敏感细胞A2780中的表达显著高于耐药细胞(P<0.05);蛋白水平上,正常IOSE细胞sFRP4表达显著高于所有癌细胞系(P<0.001),敏感细胞A2780的sFRP4蛋白表达也显著高于耐药细胞(P<0.001),提示sFRP4表达与顺铂敏感性正相关(图1)。
实验所用关键产品:sFRP4抗体(Upstate,货号09-129)、β-肌动蛋白抗体(Sigma,货号A5441)。

3.2 顺铂处理后细胞活力与凋亡检测
实验目的:验证sFRP4表达与顺铂诱导的细胞活力降低及凋亡的关联。
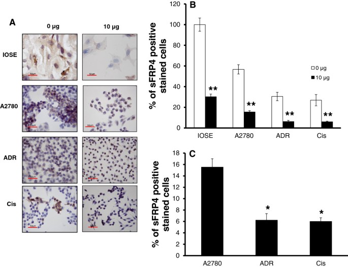
方法细节:用顺铂(1、5、10μg/ml)处理细胞24、48、72小时,MTS法检测细胞活力;JC-1法检测线粒体膜电位(凋亡标志);顺铂(10μg/ml)处理48小时后,免疫组化检测sFRP4阳性细胞比例,实验重复3次(n=3)。
结果解读:sFRP4高表达的IOSE和A2780细胞在24小时内细胞活力显著降低(P<0.001),耐药细胞仅在48小时后出现活力降低(图2);IOSE细胞24小时内出现显著线粒体膜去极化(凋亡),A2780仅在10μg/ml顺铂下出现凋亡,耐药细胞48小时后才出现凋亡(图3);免疫组化显示,敏感细胞A2780的sFRP4阳性细胞比例减少45%,耐药细胞仅减少25%,差异显著(P<0.01)(图4)。
实验所用关键产品:MTS试剂(Promega,Cell Titer 96 Aqueous One solution)、JC-1试剂盒(Invitrogen)。



3.3 sFRP4过表达对耐药细胞顺铂敏感性的影响
实验目的:验证过表达sFRP4是否增强耐药细胞对顺铂的敏感性。
方法细节:用Lipofectamine 2000将sFRP4 cDNA(pEGFP-N1载体)转染耐药细胞A2780-Cis和A2780-ADR,24小时后顺铂(1、5、10μg/ml)处理24小时,MTS法检测细胞活力,实验重复3次(n=3)。
结果解读:转染sFRP4后,耐药细胞的细胞活力显著降低(P<0.001),表明过表达sFRP4可增强耐药细胞对顺铂的敏感性(图5)。
实验所用关键产品:Lipofectamine 2000(Invitrogen)、pEGFP-N1载体(ClonTech)。

3.4 sFRP4沉默对敏感细胞顺铂敏感性的影响
实验目的:验证沉默sFRP4是否降低敏感细胞对顺铂的敏感性。
方法细节:用sFRP4 siRNA(Qiagen-Xeragon)沉默敏感细胞A2780的sFRP4表达,qRT-PCR和Western blot验证沉默效率(mRNA和蛋白降低40%),24小时后顺铂(10μg/ml)处理24小时,MTS法检测细胞活力,实验重复3次(n=3)。
结果解读:沉默sFRP4后,A2780细胞的顺铂诱导活力降低从60%减少至40%(P<0.001),表明沉默sFRP4可降低敏感细胞对顺铂的敏感性(图6)。
实验所用关键产品:sFRP4 siRNA(Qiagen-Xeragon)。

3.5 sFRP4与Wnt/β-catenin通路的关联分析
实验目的:探究sFRP4对Wnt通路关键分子β-catenin的调控作用。
方法细节:Western blot检测各细胞系及转染/沉默后细胞的β-catenin蛋白表达,实验重复3次(n=3)。
结果解读:耐药细胞的β-catenin表达显著高于敏感细胞;转染sFRP4后,耐药细胞的β-catenin表达降低;沉默sFRP4后,A2780的β-catenin表达升高,表明sFRP4与β-catenin表达负相关,其机制可能涉及抑制Wnt/β-catenin通路(图7)。
实验所用关键产品:β-catenin抗体(Cell Signaling,货号05-601)。

3.6 临床黏液性卵巢癌样本sFRP4表达与肿瘤分级的关联
实验目的:分析临床样本中sFRP4表达与肿瘤分级的关系。
方法细节:构建104例黏液性卵巢癌组织微阵列(TMA),免疫组化检测sFRP4和β-catenin表达,按染色强度(阴性、弱、中、强)评分,统计不同肿瘤分级(良性、交界性、腺癌)的表达差异。
结果解读:良性和交界性肿瘤的sFRP4表达显著高于腺癌(P<0.001),β-catenin表达与sFRP4负相关(图8、9),表明sFRP4表达降低与黏液性卵巢癌恶性进展相关。
实验所用关键产品:组织微阵列由存档石蜡组织构建,免疫组化抗体同前。


4. Biomarker研究及发现成果解析
Biomarker定位:sFRP4是卵巢癌顺铂敏感性的候选预测生物标志物(细胞内蛋白,免疫组化检测),筛选验证逻辑为“细胞系表达差异→功能验证→临床样本关联”的完整链条。
研究过程详述:sFRP4来源包括卵巢癌细胞系和临床黏液性卵巢癌组织;验证方法采用qRT-PCR(mRNA)、Western blot(蛋白)、免疫组化(细胞内表达);特异性:细胞系中sFRP4高表达与顺铂敏感性正相关(过表达增强、沉默降低),临床样本中sFRP4与低肿瘤分级正相关;敏感性:顺铂处理后sFRP4阳性细胞比例减少更显著的细胞系对顺铂更敏感(如A2780减少45%,耐药细胞减少25%)。
核心成果提炼:
1. 预测价值:sFRP4可作为卵巢癌顺铂敏感性的预测标志物(细胞系中,sFRP4表达与顺铂诱导的活力降低及凋亡正相关);
2. 临床关联:黏液性卵巢癌中,sFRP4表达与低肿瘤分级显著相关(腺癌表达低,交界性和良性表达高,P<0.001);
3. 机制:通过抑制Wnt/β-catenin通路调控顺铂敏感性(与β-catenin表达负相关)。
本研究首次在卵巢癌中报道sFRP4与顺铂敏感性的直接关联,验证了其作为化疗敏感性预测标志物的潜力,为卵巢癌个性化治疗提供了新靶点。
