1. 领域背景与文献引入
文献英文标题:COX-2 strengthens the effects of acid and bile salts on human esophageal cells and Barrett esophageal cells;发表期刊:BMC Molecular and Cell Biology;影响因子:未公开;研究领域:食管疾病与肿瘤分子生物学(Barrett食管及食管腺癌发病机制研究)
Barrett食管(BE)是食管腺癌(EAC)的明确癌前病变,其发病与胃食管反流病(GERD)密切相关,尤其是胃酸和胆汁反流的长期刺激。领域共识:EAC的预后极差,早期诊断患者5年生存率可达83%-90%,而晚期患者仅为10%-15%,因此BE的早期干预对降低EAC发病率至关重要。当前领域研究热点聚焦于BE的细胞起源、反流诱导BE的分子机制、早期诊断生物标志物及靶向治疗靶点的开发,但仍存在核心未解决问题:COX-2作为炎症与肿瘤发生的关键分子,其在BE细胞活力、肠化生及异型性调控中的具体机制尚未完全阐明,且酸和胆汁反流环境与COX-2的相互作用对BE进展的影响仍不明确,现有COX-2抑制剂治疗BE的临床疗效不理想,其背后的分子机制尚未阐明。基于此,本研究旨在明确COX-2对人食管鳞状细胞和BE细胞生物学行为的调控作用及分子机制,同时探讨反流环境下COX-2的功能,为BE及EAC的诊断与治疗提供新的靶点和理论依据。
2. 文献综述解析
作者围绕“BE的临床危害与诱因、COX-2在肿瘤中的作用、现有研究的局限性”三个维度展开综述,系统梳理了BE与EAC的临床关联、反流因素的致病作用、COX-2的肿瘤调控功能及相关分子通路的研究进展。
现有研究已证实BE是EAC的癌前病变,酸和胆汁反流是BE发生的主要诱因;COX-2可通过促进细胞增殖、抑制凋亡、促进血管生成等多种途径参与炎症相关肿瘤的发生发展,且在BE及EAC组织中表达显著上调;NF-κB、BMP-4、CDX-2等分子被证实参与BE的肠化生过程,其中CDX-2是肠化生的关键转录因子。现有研究的技术优势在于部分研究采用临床样本验证分子表达的相关性,部分研究利用细胞模型模拟反流环境探索致病机制,但仍存在局限性:多数研究未明确COX-2与BE细胞异型性、肠化生的直接调控关系,且未系统探讨酸和胆汁共同作用下COX-2的功能及机制;现有COX-2抑制剂治疗BE的临床疗效不理想,其背后的分子机制尚未阐明。
本研究的创新价值在于,首次在人食管鳞状细胞系(HET-1A)和BE细胞系(BAR-T)中,通过基因过表达与沉默技术直接验证COX-2对细胞活力、肠化生及异型性的调控作用;首次系统模拟酸、胆汁及混合反流环境,揭示COX-2在该环境下对细胞生物学行为的调控机制,阐明COX-2通过p-p65、BMP-4、CDX-2通路发挥功能,弥补了现有研究的不足,为BE的靶向治疗提供了新的理论基础。
3. 研究思路总结与详细解析
本研究的整体研究目标是明确COX-2对人食管鳞状细胞和BE细胞活力、肠化生及异型性的影响及分子机制,同时验证酸和胆汁反流环境下COX-2的调控功能;核心科学问题是COX-2如何调控BE细胞的生物学行为,以及酸和胆汁与COX-2的相互作用机制;技术路线遵循“基因调控模型构建→细胞生物学行为检测→分子机制解析→反流环境功能验证”的闭环逻辑,确保研究结论的严谨性与可靠性。
3.1 COX-2基因调控模型构建与细胞活力检测
实验目的是验证COX-2对HET-1A和BAR-T细胞增殖活力的直接调控作用。方法细节:采用Lipofectamine 2000将COX-2过表达质粒及siRNA分别转染至HET-1A和BAR-T细胞,设置空白对照组、阴性对照组、COX-2过表达组、COX-2沉默组;转染后3天,采用MTS法检测细胞活力,实验重复3次以保证结果可靠性。结果解读:MTS检测结果显示,COX-2过表达组的细胞活力显著高于对照组(n=3,P<0.05),而COX-2沉默组的细胞活力显著低于对照组(n=3,P<0.05),表明COX-2可显著促进两种细胞的增殖活力。实验所用关键产品:Lipofectamine 2000(Invitrogen, USA)、MTS试剂(Sigma, USA)。

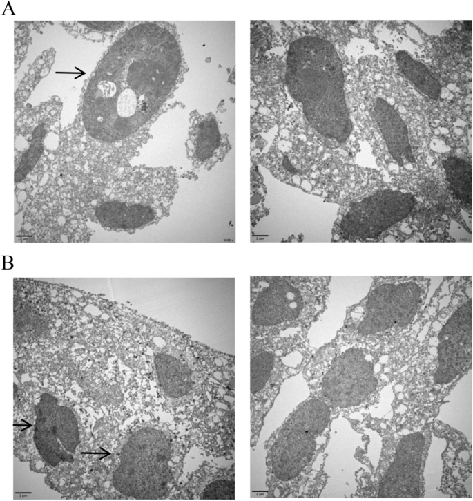
3.2 细胞超微结构与形态学观察
实验目的是观察COX-2对细胞肠化生及异型性的影响,明确COX-2在BE发生中的形态学作用。方法细节:转染后3天,收集HET-1A和BAR-T细胞,采用透射电子显微镜观察细胞的超微结构变化。结果解读:透射电镜结果显示,HET-1A细胞过表达COX-2后,细胞表面微绒毛数量增加,出现腺样腔结构,提示细胞发生肠化生;BAR-T细胞过表达COX-2后,出现核异常、自噬体等异型性表现,而COX-2沉默组未出现上述形态学改变,表明COX-2可诱导食管鳞状细胞肠化生及BE细胞异型性。实验所用关键产品:日本电子JEM-2010透射电子显微镜。

3.3 下游调控分子的Western blot检测
实验目的是筛选COX-2调控的关键分子,解析其作用机制。方法细节:转染后2天,提取细胞总蛋白,采用Western blot检测COX-2、p65、p-p65、CDX-2、BMP-4、MUC2、c-myb的表达水平,以GAPDH为内参,通过ImageJ软件分析条带灰度值,实验重复3次。结果解读:Western blot结果显示,p-p65、CDX-2、BMP-4的表达水平与COX-2的表达呈正相关(n=3,P<0.05),而p65、MUC2、c-myb的表达水平无显著变化,提示COX-2可能通过激活p-p65、CDX-2、BMP-4通路调控细胞的生物学行为。实验所用关键产品:抗COX-2、BMP-4等单克隆抗体(Epitomics, USA)、ECL化学发光试剂(Tanon, China)、ImageJ图像分析软件。

3.4 反流环境下细胞模型构建与分子表达检测
实验目的是模拟临床酸和胆汁反流环境,检测该环境对细胞活力及COX-2表达的影响。方法细节:首先筛选处理条件,设置不同浓度胆汁盐(HET-1A:0、400、800、1200μmol/L;BAR-T:0、800、1200、1600μmol/L)和不同pH值(4.0、5.0、6.0)处理细胞,通过MTS检测细胞活力、Western blot检测COX-2表达;最终选择1200μmol/L胆汁盐、pH6.0的条件,分别单独或混合处理HET-1A(30min/次)和BAR-T(60min/次)细胞,每日处理3次,持续7天。结果解读:MTS结果显示,酸、胆汁及混合处理均显著抑制细胞活力,其中混合处理的抑制作用最强(n=3,P<0.001);Western blot结果显示,三种处理均显著上调COX-2、p-p65、CDX-2、BMP-4的表达,混合处理的上调作用最显著(n=3,P<0.05),提示酸和胆汁反流可通过诱导COX-2表达调控细胞生物学行为。实验所用关键产品:胆汁盐混合物(Sigma, USA)、RPMI1640培养基(Invitrogen, USA)。




3.5 COX-2沉默对反流环境下细胞行为的影响
实验目的是验证COX-2在反流环境中的调控作用,明确其作为治疗靶点的潜力。方法细节:将COX-2 siRNA转染至HET-1A和BAR-T细胞,待转染成功后,用酸和胆汁混合液处理细胞(HET-1A处理30min,BAR-T处理60min),处理后采用MTS检测细胞活力、Western blot检测分子表达、透射电镜观察细胞形态。结果解读:MTS结果显示,COX-2沉默进一步增强了酸和胆汁混合液对细胞活力的抑制作用(n=3,P<0.05);Western blot结果显示,COX-2沉默后p-p65、CDX-2、BMP-4的表达显著下调(n=3,P<0.05);透射电镜结果显示,COX-2沉默后,酸和胆汁混合液处理的细胞未出现肠化生或异型性改变,提示抑制COX-2可逆转反流环境对细胞的不良影响。实验所用关键产品:COX-2 siRNA(Santa Cruz Biotechnology)、透射电子显微镜(日本电子JEM-2010)。



4. Biomarker研究及发现成果
本研究聚焦于COX-2作为BE及EAC诊断与治疗靶点的潜力,通过细胞模型验证、分子机制解析及反流环境验证的完整逻辑链条,明确了COX-2的Biomarker功能及调控机制。
COX-2属于功能型Biomarker,其筛选与验证逻辑为“细胞水平功能验证→分子通路解析→反流环境功能验证”,即首先通过基因过表达与沉默验证COX-2对细胞生物学行为的调控作用,然后解析其下游调控通路,最后在模拟反流环境中验证其功能。COX-2的检测样本为人食管鳞状细胞系(HET-1A)和Barrett食管细胞系(BAR-T),验证方法包括Western blot检测表达水平、MTS检测细胞活力、透射电子显微镜观察细胞形态;在酸和胆汁反流环境下,COX-2的表达水平显著上调,且与p-p65、CDX-2、BMP-4的表达呈正相关;特异性方面,COX-2过表达可特异性诱导HET-1A细胞发生肠化生、BAR-T细胞发生异型性改变,敏感性方面,酸和胆汁处理可快速诱导COX-2表达(HET-1A处理90min,BAR-T处理60min)。
核心成果提炼:COX-2可作为BE发生发展的关键调控分子,其表达水平与BE细胞的活力、肠化生及异型性密切相关,实验数据显示COX-2过表达可使细胞活力显著升高(n=3,P<0.05);本研究首次发现COX-2通过激活p-p65、CDX-2、BMP-4通路调控BE细胞的生物学行为,在酸和胆汁混合反流环境下,COX-2的调控作用更为显著,为BE及EAC的诊断与靶向治疗提供了新的潜在靶点,具有重要的临床转化价值。文献未提及COX-2作为诊断Biomarker的ROC曲线数据及风险比(HR)。
