1. 领域背景与文献引入
文献英文标题:Overexpression of Contactin 1 promotes growth, migration and invasion in Hs578T breast cancer cells;发表期刊:BMC Cell Biology;影响因子:未公开;研究领域:乳腺癌分子生物学与肿瘤侵袭转移机制
领域共识:乳腺癌是全球女性发病率最高的恶性肿瘤,也是女性癌症相关死亡的首要原因,每年新增病例超24万,死亡病例超4万,肿瘤转移是导致乳腺癌患者死亡的主要原因。尽管当前乳腺癌治疗策略取得了显著进展,但转移性乳腺癌仍难以治愈,因此亟需鉴定乳腺癌转移的驱动分子,开发针对性的治疗方案。接触蛋白1(CNTN1)是免疫球蛋白家族成员,属于糖基磷脂酰肌醇锚定的神经细胞膜黏附分子,在神经系统发育中发挥重要作用。近年来的研究显示,CNTN1在肺癌、胃癌、肝癌等多种肿瘤中异常高表达,且与肿瘤的侵袭转移密切相关,例如在肺癌中通过激活RhoA通路调控细胞骨架和运动能力,介导肿瘤侵袭转移;在胃癌中与淋巴侵袭和不良预后相关。然而,CNTN1在乳腺癌中的功能尚未得到充分研究,这一研究空白限制了对乳腺癌转移机制的全面理解,也阻碍了潜在治疗靶点的开发。基于此,本研究旨在明确CNTN1在乳腺癌细胞增殖、迁移和侵袭中的调控作用,为乳腺癌的治疗提供新的潜在靶点。
2. 文献综述解析
本文献综述部分以“乳腺癌转移的临床需求- CNTN1的基础功能- CNTN1在其他肿瘤中的研究现状-乳腺癌领域的研究空白”为逻辑主线,系统梳理了CNTN1在肿瘤中的研究进展,并明确了本研究的必要性。
作者首先分类总结了CNTN1在不同肿瘤中的研究结论:在肺癌中,CNTN1过表达可促进肿瘤细胞的侵袭和转移,沉默CNTN1则抑制肺癌细胞的转移能力,且高表达CNTN1的肺癌患者处于疾病晚期,预后更差;在胃癌中,CNTN1表达与淋巴侵袭和患者预后相关;在食管癌中,CNTN1作为血管内皮生长因子C(VEGF-C)的下游分子,介导肿瘤细胞的迁移;在肝癌中,CNTN1过表达与肿瘤的侵袭性临床病理特征密切相关。现有研究的优势在于明确了CNTN1在多种上皮性肿瘤中的促转移作用,初步揭示了其部分调控机制,为肿瘤转移的分子机制研究提供了新方向;但局限性在于,现有研究均未涉及乳腺癌领域,CNTN1在乳腺癌中的表达模式、功能及调控机制完全未知,无法为乳腺癌的治疗提供相关依据。通过对比现有研究的未解决问题,本研究的创新价值凸显:首次聚焦乳腺癌细胞系,系统研究CNTN1对乳腺癌细胞增殖、迁移和侵袭的调控作用,填补了CNTN1在乳腺癌领域的研究空白,为乳腺癌转移机制的研究提供了新的线索。
3. 研究思路总结与详细解析
本研究的核心目标是明确CNTN1在乳腺癌细胞增殖、迁移和侵袭中的功能,核心科学问题为CNTN1是否及如何调控乳腺癌细胞的恶性生物学行为,技术路线遵循“细胞系筛选→模型构建→体外功能验证→体内实验验证”的闭环逻辑,通过多层面实验验证CNTN1的促癌作用。
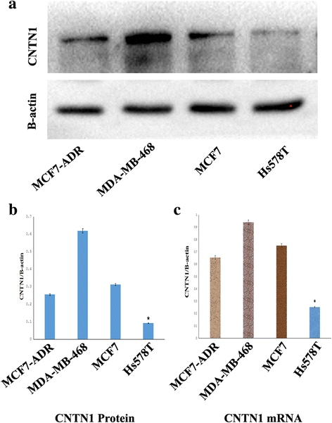
3.1 乳腺癌细胞系CNTN1表达水平筛选
实验目的:筛选CNTN1表达水平较低的乳腺癌细胞系,为后续过表达实验提供合适的细胞模型。
方法细节:选取MCF7-ADR、MDA-MB-468、MCF7和Hs578T四种乳腺癌细胞系,采用蛋白质免疫印迹(Western blot)和实时荧光定量PCR(qRT-PCR)检测CNTN1的蛋白和mRNA表达水平,实验重复三次。
结果解读:蛋白质免疫印迹结果显示,Hs578T细胞中CNTN1的蛋白表达水平显著低于其他三种细胞系(n=3,P<0.05);实时荧光定量PCR结果也证实Hs578T细胞中CNTN1的mRNA表达水平最低(n=3,P<0.05),因此选择Hs578T细胞进行后续实验。

产品关联:实验所用关键产品:Trizol(Invitrogen, USA)、蛋白质免疫印迹相关抗体(Epitomics, USA)、实时荧光定量PCR引物(Sangon, China)等;未明确提及的常规试剂如培养基、蛋白酶抑制剂等,领域常规使用Gibco、Sigma等品牌产品。
3.2 CNTN1过表达细胞模型构建与验证
实验目的:构建稳定过表达CNTN1的Hs578T细胞模型,并验证过表达效率。
方法细节:通过逆转录PCR扩增CNTN1的cDNA,将其插入pEGFP-N1载体构建过表达质粒,同时以空pEGFP-N1载体作为阴性对照;采用Lipofectamine 2000将质粒转染至Hs578T细胞,转染8小时后更换新鲜培养基,并用嘌呤霉素(800μg/ml)筛选两周获得稳定转染细胞;采用免疫细胞化学(ICC)、蛋白质免疫印迹和实时荧光定量PCR验证CNTN1的过表达效率,实验重复三次。
结果解读:免疫细胞化学染色显示,转染CNTN1质粒的Hs578T细胞中绿色荧光蛋白(GFP)和CNTN1的表达显著增强;蛋白质免疫印迹结果显示,转染组CNTN1的蛋白表达水平显著高于对照组(n=3,P<0.05);实时荧光定量PCR结果显示,转染组CNTN1的mRNA表达水平显著升高(n=3,P<0.05),证实成功构建了CNTN1过表达的Hs578T细胞模型。

产品关联:实验所用关键产品:pEGFP-N1载体(Clontech Laboratories, USA)、Lipofectamine 2000(Invitrogen, USA)、嘌呤霉素(Gibco Life Technologies)、免疫细胞化学抗体(Sigma, USA)等。
3.3 体外增殖能力验证
实验目的:验证CNTN1过表达对Hs578T细胞增殖能力的影响。
方法细节:采用MTT法检测细胞增殖活性,将转染后的细胞接种于96孔板,培养48小时后加入MTT试剂,4小时后加入二甲基亚砜(DMSO),检测490nm处的光密度(OD)值;采用克隆形成实验检测细胞的克隆形成能力,将细胞接种于软琼脂中,培养14天后计数含50个以上细胞的克隆数;采用流式细胞术检测细胞周期分布,实验重复三次。
结果解读:MTT实验结果显示,CNTN1过表达组的OD值显著高于对照组(n=3,P<0.05),提示细胞增殖活性增强;克隆形成实验结果显示,CNTN1过表达组的克隆数显著多于对照组,提示细胞克隆形成能力增强;流式细胞术结果显示,CNTN1过表达组中处于S期的细胞比例显著升高,G1期细胞比例降低,提示CNTN1促进细胞周期从G1期向S期转换,加速细胞增殖。

产品关联:实验所用关键产品:MTT试剂(Sigma, USA)、流式细胞术抗体(eBioscience, USA)、ModFit LT软件(Verity Software House Inc., USA)等。
3.4 体外迁移与侵袭能力验证
实验目的:验证CNTN1过表达对Hs578T细胞迁移和侵袭能力的影响。
方法细节:采用Transwell实验检测细胞的迁移和侵袭能力,迁移实验中直接将细胞接种于Transwell小室的上室,培养48小时后计数下室的细胞数;侵袭实验中先将Matrigel包被于Transwell小室的上室,再接种细胞,培养48小时后计数下室的细胞数,每个实验重复三次,每次随机选取三个视野计数。
结果解读:Transwell迁移实验结果显示,CNTN1过表达组的穿膜细胞数显著多于对照组(n=3,P<0.05);侵袭实验结果显示,CNTN1过表达组的穿膜细胞数也显著多于对照组(n=3,P<0.05),提示CNTN1过表达显著增强了Hs578T细胞的迁移和侵袭能力。

产品关联:实验所用关键产品:Transwell小室(Corning, USA)、Matrigel(Sigma, USA)、结晶紫染色液(Beyotime, China)等。
3.5 体内异种移植肿瘤生长验证
实验目的:验证CNTN1过表达对Hs578T细胞体内成瘤能力的影响。
方法细节:将5周龄的裸鼠随机分为三组,每组6只(n=6),分别皮下注射未处理的Hs578T细胞、转染空载体的Hs578T细胞和转染CNTN1过表达质粒的Hs578T细胞;肿瘤形成后每2天用游标卡尺测量肿瘤大小,计算肿瘤体积;三周后处死小鼠,取出肿瘤并测量肿瘤重量,采用免疫组化(IHC)检测肿瘤组织中CNTN1的表达。
结果解读:体内实验结果显示,CNTN1过表达组的肿瘤体积显著大于对照组(n=6,P<0.05),三周后肿瘤平均体积为2.25±0.30 cm³,而未处理组和空载体组的肿瘤平均体积分别为1.27±0.27 cm³和1.32±0.30 cm³;肿瘤重量结果显示,CNTN1过表达组的肿瘤平均重量为4.28±1.09 g,显著高于未处理组的2.36±0.35 g和空载体组的2.61±0.55 g(n=6,P<0.05);免疫组化结果显示,CNTN1过表达组的肿瘤组织中CNTN1的表达水平显著高于对照组,提示CNTN1过表达显著促进了Hs578T细胞的体内成瘤能力。

产品关联:实验所用关键产品:裸鼠(中国医学科学院实验动物研究所)、游标卡尺(青岛 Tide Machine Tool Supply Co. Ltd., China)、免疫组化抗体(Epitomics, USA)等。
4. Biomarker研究及发现成果
本研究中CNTN1作为潜在的乳腺癌促癌分子Biomarker,属于免疫球蛋白家族的糖基磷脂酰肌醇锚定黏附分子,其筛选与验证逻辑为:先检测多种乳腺癌细胞系的CNTN1表达水平,选择低表达的Hs578T细胞构建过表达模型,再通过体外和体内实验验证其对乳腺癌细胞恶性生物学行为的调控作用。
CNTN1的研究过程中,其来源为乳腺癌细胞系,验证方法包括:采用蛋白质免疫印迹和实时荧光定量PCR检测细胞系中CNTN1的表达水平;采用免疫细胞化学和免疫组化检测细胞和肿瘤组织中CNTN1的定位与表达;通过MTT、克隆形成、细胞周期、Transwell等体外实验验证CNTN1对细胞增殖、迁移和侵袭的影响;通过裸鼠异种移植模型验证CNTN1对体内成瘤能力的影响。本研究未提供CNTN1作为Biomarker的特异性与敏感性相关数据(如ROC曲线、诊断效能等)。
核心成果提炼:本研究证实,CNTN1过表达可显著促进Hs578T乳腺癌细胞的增殖(MTT实验OD值升高,n=3,P<0.05)、克隆形成能力增强、细胞周期G1-S期转换加速;同时显著增强细胞的迁移和侵袭能力(Transwell实验穿膜细胞数增加,n=3,P<0.05);体内实验中显著促进异种移植肿瘤的生长(肿瘤体积和重量增加,n=6,P<0.05)。本研究的创新性在于首次在乳腺癌细胞系中系统证明了CNTN1的促增殖、迁移和侵袭作用,提示CNTN1可能作为乳腺癌治疗的潜在靶点;但本研究未揭示CNTN1调控乳腺癌细胞恶性行为的具体机制,也未在临床样本中验证CNTN1的表达与乳腺癌患者临床病理特征及预后的关系,需进一步研究完善。
