1. 领域背景与文献引入
文献英文标题:Knockdown of CLIC4 enhances ATP-induced HN4 cell apoptosis through mitochondrial and endoplasmic reticulum pathways;发表期刊:Cell Biosci;影响因子:未公开;研究领域:头颈部鳞状细胞癌凋亡调控与离子通道靶向治疗。
头颈部鳞状细胞癌是全球第6大常见恶性肿瘤,严重威胁老年人群健康。领域共识:尽管近年来治疗技术有所进展,但头颈部鳞状细胞癌的临床治疗效果仍不理想,亟需探索新的治疗靶点与策略。离子通道在肿瘤发生发展中的作用是当前研究热点,其中氯离子通道家族(CLIC)因参与细胞凋亡、分化等多种生物学过程受到关注。CLIC4作为CLIC家族成员,其在不同肿瘤细胞中的凋亡调控作用存在争议,部分研究显示其可抑制肿瘤细胞凋亡,部分则显示促凋亡效应,而其在头颈部鳞状细胞癌中的功能尚未明确。同时,ATP作为应激细胞释放的凋亡诱导剂,在肿瘤微环境中可参与化疗敏感性调控,但CLIC4与ATP诱导凋亡的关联尚未被研究,这一空白为本文研究提供了必要性,即明确CLIC4在头颈部鳞状细胞癌中的表达模式及对ATP诱导凋亡的调控作用,为临床治疗提供潜在靶点。
2. 文献综述解析
本文综述部分围绕头颈部鳞状细胞癌治疗现状、CLIC家族尤其是CLIC4的肿瘤调控作用两大维度展开,系统梳理了现有研究的结论、优势与局限性,明确了本研究的创新方向。
现有研究显示,头颈部鳞状细胞癌常规治疗效果不佳,亟需新靶点;CLIC4作为氯离子通道蛋白,参与多种肿瘤的恶性转化、细胞应激与凋亡过程,不同研究中其在肿瘤细胞中的功能存在差异,部分研究发现CLIC4在皮肤癌、乳腺癌中可作为肿瘤抑制因子,抑制肿瘤生长,而在胶质瘤细胞中,敲低CLIC4可增强氧化应激诱导的凋亡,但这些研究的局限性在于未涉及头颈部鳞状细胞癌,且未探讨CLIC4与ATP诱导凋亡的关联。同时,现有研究已证实ATP可通过结合细胞表面受体诱导肿瘤细胞凋亡,且化疗可诱导肿瘤细胞释放ATP,但CLIC4对ATP诱导凋亡的调控机制尚未被报道。本文通过对比现有研究的空白,首次聚焦头颈部鳞状细胞癌中CLIC4的表达及对ATP诱导凋亡的调控,明确了线粒体与内质网通路的参与,填补了该领域的研究缺口。
3. 研究思路总结与详细解析
本文的研究目标是明确CLIC4在头颈部鳞状细胞癌组织中的表达模式,以及敲低CLIC4对ATP诱导HN4细胞凋亡的调控作用及分子机制;核心科学问题为CLIC4如何通过线粒体与内质网通路调控ATP诱导的HN4细胞凋亡;技术路线遵循“临床样本观察→细胞模型验证→分子机制解析”的逻辑闭环,通过免疫组化、siRNA转染、蛋白免疫印迹、TUNEL检测、线粒体膜电位检测、钙离子浓度测定等实验逐步验证假设。
3.1 头颈部鳞状细胞癌组织中CLIC4表达水平检测
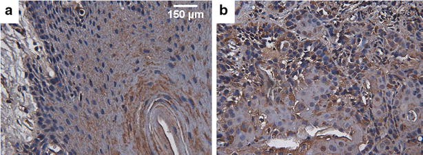
实验目的是明确CLIC4在头颈部鳞状细胞癌组织与正常组织中的表达差异,为后续功能研究提供临床依据。方法细节为收集头颈部鳞状细胞癌患者手术标本及正常牙龈组织,采用免疫组化(IHC)染色,使用抗CLIC4小鼠单克隆一抗检测蛋白表达,通过苏木精复染细胞核,观察阳性染色细胞比例与强度。结果解读显示,免疫组化结果表明头颈部鳞状细胞癌组织中CLIC4的表达水平显著高于正常牙龈组织,提示CLIC4可能参与头颈部鳞状细胞癌的发生发展。

实验所用关键产品:Santa Cruz的抗CLIC4小鼠单克隆一抗(货号sc-135739)。
3.2 CLIC4敲低细胞模型构建与凋亡率检测
实验目的是验证CLIC4敲低对HN4细胞凋亡的影响,尤其是在ATP诱导下的凋亡变化。方法细节为采用CLIC4特异性小干扰RNA(siRNA)转染HN4细胞,同时设置阴性对照siRNA组,转染48小时后,采用100μM ATP处理细胞3小时,通过TdT介导的dUTP缺口末端标记(TUNEL)实验检测凋亡细胞比例,DAPI复染细胞核,计算凋亡细胞占总细胞的百分比。结果解读显示,TUNEL实验结果表明CLIC4敲低组的凋亡率显著高于对照组,且ATP处理后,CLIC4敲低组的凋亡率进一步升高(n=4-5,P<0.05),提示CLIC4敲低可增强ATP诱导的HN4细胞凋亡。

实验所用关键产品:Biomics的CLIC4 siRNA、Vazyme的TUNEL亮绿凋亡检测试剂盒、Invitrogen的Lipofectamine 2000转染试剂。
3.3 线粒体通路相关蛋白表达与膜电位检测
实验目的是解析CLIC4敲低增强ATP诱导凋亡的线粒体通路机制。方法细节为CLIC4 siRNA或对照siRNA转染HN4细胞后,经100μM ATP处理3小时,提取细胞总蛋白,采用蛋白免疫印迹(Western Blot)检测Bax、Bcl-2、活化型caspase 3的表达水平,β-微管蛋白作为内参;同时采用罗丹明-123染色检测线粒体膜电位,通过共聚焦激光显微镜记录荧光强度,计算荧光强度比值反映膜电位变化。结果解读显示,蛋白免疫印迹结果表明CLIC4敲低后,促凋亡蛋白Bax、活化型caspase 3的表达显著上调,抗凋亡蛋白Bcl-2的表达显著下调(n=3,P<0.05);线粒体膜电位检测显示,CLIC4敲低显著增强ATP诱导的线粒体膜去极化(n=5,P<0.05),提示线粒体通路参与CLIC4调控的ATP诱导凋亡。


实验所用关键产品:Santa Cruz的抗Bax、抗Bcl-2、抗活化型caspase 3兔多克隆一抗、Invitrogen的罗丹明-123。
3.4 内质网通路钙离子释放与应激蛋白检测
实验目的是解析CLIC4敲低增强ATP诱导凋亡的内质网应激通路机制。方法细节为CLIC4 siRNA或对照siRNA转染HN4细胞后,采用Fluo-8 AM染色检测细胞内钙离子浓度,分别用100μM ATP和2μM毒胡萝卜素(TG,内质网Ca²⁺-ATP酶抑制剂)处理细胞,记录荧光强度变化反映钙离子释放;同时采用蛋白免疫印迹检测内质网应激标志物CHOP、活化型caspase 4的表达水平。结果解读显示,钙离子检测结果表明CLIC4敲低显著增强ATP和TG诱导的细胞内钙离子释放(n=5,P<0.05);蛋白免疫印迹结果显示,CLIC4敲低后,CHOP、活化型caspase 4的表达显著上调(n=3,P<0.05),提示内质网应激通路参与CLIC4调控的ATP诱导凋亡。


实验所用关键产品:Santa Cruz的抗CHOP、抗活化型caspase 4兔多克隆一抗、Fluo-8 AM钙离子探针。
4. Biomarker研究及发现成果
本文中CLIC4作为潜在的头颈部鳞状细胞癌治疗靶点与预后相关Biomarker,通过临床样本筛选、细胞功能验证、分子机制解析的完整逻辑链条,明确了其表达模式与调控作用。
CLIC4属于蛋白类Biomarker,筛选逻辑为首先通过临床头颈部鳞状细胞癌组织与正常组织的免疫组化染色,发现其在肿瘤组织中高表达;随后通过细胞模型验证其对ATP诱导凋亡的调控作用,明确其作为治疗靶点的潜力。
CLIC4来源于临床头颈部鳞状细胞癌手术标本及HN4细胞系,验证方法包括免疫组化染色、siRNA功能抑制、蛋白免疫印迹、TUNEL凋亡检测、线粒体膜电位检测、钙离子浓度测定等。特异性方面,免疫组化结果显示CLIC4在头颈部鳞状细胞癌组织中的表达显著高于正常牙龈组织(无ROC曲线数据);功能验证显示,敲低CLIC4可使ATP诱导的HN4细胞凋亡率显著升高(n=4-5,P<0.05),同时调控线粒体与内质网通路的关键蛋白表达。
核心成果提炼为CLIC4在头颈部鳞状细胞癌组织中高表达,可作为潜在的治疗靶点,敲低CLIC4可通过线粒体通路(上调Bax、活化型caspase 3,下调Bcl-2,增强线粒体膜去极化)和内质网应激通路(增强钙离子释放,上调CHOP、活化型caspase 4)增强ATP诱导的HN4细胞凋亡。本研究首次在头颈部鳞状细胞癌中明确了CLIC4的凋亡调控作用及分子机制,为头颈部鳞状细胞癌的临床治疗提供了新的潜在靶点,无预后相关HR值数据。
