1. 领域背景与文献引入
文献英文标题:The differentiation/retrodifferentiation program of human U937 leukemia cells is accompanied by changes of VCP/p97;发表期刊:BMC Cell Biology;影响因子:未公开;研究领域:血液肿瘤(白血病)分化与逆向分化机制研究。
血液肿瘤中,白血病细胞的分化异常是其核心特征之一,诱导分化治疗已成为急性早幼粒细胞白血病等亚型的标准治疗方案,1979年首次发现佛波酯(TPA)可诱导人U937髓系白血病细胞分化为单核细胞样细胞,为白血病分化研究建立了经典模型。当前研究热点聚焦于分化与逆向分化过程中的调控机制,包括蛋白降解通路、细胞周期调控因子的作用,其中逆向分化是指分化后的白血病细胞重新获得增殖能力的过程,其机制涉及蛋白酶体、聚腺苷二磷酸核糖聚合酶(PARP)等因子,但具体的关键调控因子及作用机制尚未完全明确。现有研究表明,AAA ATP酶家族的含缬酪肽蛋白(VCP/p97)参与蛋白降解、细胞周期调控等多种细胞过程,在多种实体瘤中高表达与转移潜能相关,但在白血病分化与逆向分化中的作用尚未见报道,这一研究空白限制了对白血病细胞命运调控机制的理解,也制约了诱导分化治疗靶点的开发。
针对这一空白,本研究以U937细胞为模型,系统分析VCP/p97在分化与逆向分化过程中的表达、亚细胞定位及功能,旨在明确其在白血病细胞命运转换中的作用,为白血病诱导分化治疗提供新的理论依据和潜在靶点。
2. 文献综述解析
作者从VCP/p97的功能特性、白血病分化与逆向分化的调控机制两个维度对现有研究进行分类评述。首先梳理VCP/p97的现有研究:VCP/p97作为AAA ATP酶,参与泛素-蛋白酶体通路的蛋白降解、细胞周期调控,在细胞内主要定位于胞质,部分情况下可进入细胞核,酪氨酸磷酸化可能影响其亚细胞定位;在实体瘤中,VCP/p97高表达与肿瘤转移、复发相关,但在血液肿瘤中的研究较为匮乏。然后梳理白血病分化与逆向分化的研究:U937细胞可被TPA诱导分化为单核细胞样细胞,伴随G0/G1期细胞周期停滞,之后在无TPA条件下可发生逆向分化,恢复增殖能力,这一过程需要蛋白酶体的参与,PARP也发挥调控作用,但蛋白降解通路中的关键因子VCP/p97的作用未被关注。现有研究的技术方法优势在于U937细胞模型的成熟性,可稳定诱导分化与逆向分化,离心淘洗、免疫沉淀等技术可精准分析细胞周期及亚细胞组分,但局限性在于未将VCP/p97与白血病分化过程关联,缺乏对其动态变化及功能的研究。
本研究的创新价值在于首次将VCP/p97与白血病细胞的分化和逆向分化过程关联,系统分析其表达、亚细胞定位及磷酸化状态的动态变化,并通过功能验证明确其调控作用,填补了该领域的研究空白,为白血病细胞命运调控机制提供了新的视角。
3. 研究思路总结与详细解析
本研究的核心目标是明确VCP/p97在人U937白血病细胞分化与逆向分化过程中的表达模式、亚细胞定位及功能作用;核心科学问题是VCP/p97如何调控白血病细胞的分化与逆向分化命运转换;技术路线遵循“基础表达分析→动态变化观察→亚细胞定位验证→功能机制探究”的逻辑闭环,首先分析增殖细胞不同周期中VCP/p97的表达,再观察分化与逆向分化过程中的动态变化,接着验证亚细胞定位及磷酸化状态,最后通过siRNA敲低结合基因芯片分析其功能。
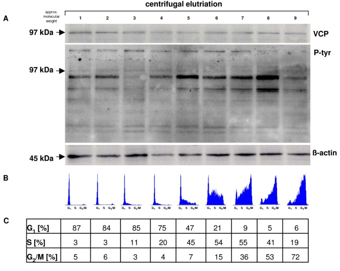
3.1 增殖U937细胞周期中VCP/p97表达分析
实验目的:明确VCP/p97在增殖U937细胞不同周期阶段的表达水平及酪氨酸磷酸化状态。方法细节:采用离心淘洗法分离处于G1、S、G2/M不同周期阶段的U937细胞,通过蛋白质免疫印迹(Western blot)检测VCP/p97的蛋白表达水平,同时检测酪氨酸磷酸化水平,以β-肌动蛋白为内参;采用流式细胞术验证细胞周期分离的有效性,通过FloMax和MultiCycle软件分析细胞周期分布。结果解读:蛋白质免疫印迹结果显示,VCP/p97在不同细胞周期阶段的表达水平无明显差异(n=3,文献未明确P值),但在G1期富集的细胞群体中可检测到约97kDa蛋白的酪氨酸磷酸化,S期和G2/M期细胞中未检测到该磷酸化信号;流式细胞术结果验证了离心淘洗法可有效分离不同周期的细胞群体。产品关联:文献未提及具体实验产品,领域常规使用离心淘洗系统、流式细胞仪、蛋白质免疫印迹相关试剂(如VCP/p97抗体、磷酸酪氨酸抗体)。

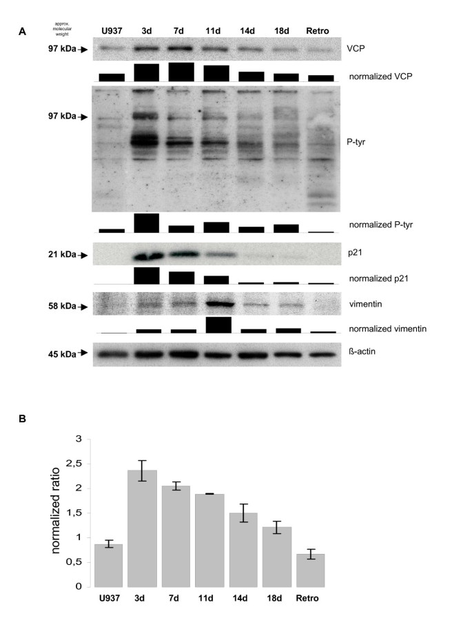
3.2 分化与逆向分化过程中VCP/p97表达及转录水平分析
实验目的:分析VCP/p97在U937细胞分化及逆向分化过程中的蛋白和mRNA表达动态变化。方法细节:用10nM TPA处理U937细胞72小时诱导单核细胞样分化,之后将分化细胞在无TPA的培养基中培养约3周,使其发生逆向分化;在诱导分化后的3天、7天、11天、14天、18天及逆向分化后等时间点收集细胞,通过蛋白质免疫印迹检测VCP/p97、细胞周期抑制剂p21、分化相关中间丝蛋白波形蛋白的表达水平,以β-肌动蛋白为内参;提取细胞总RNA,通过实时定量聚合酶链反应(qRT-PCR)检测VCP/p97的mRNA水平,以TATA结合蛋白(TBP)为内参,进行三次独立实验。结果解读:蛋白质免疫印迹结果显示,TPA处理3天后,VCP/p97的蛋白水平显著上调约2.5倍(n=3,P<0.05),之后随逆向分化进程逐渐降低,直至逆向分化后恢复至未分化细胞的水平;同时,p21和波形蛋白的表达在分化阶段显著上调,逆向分化阶段下调(n=3,P<0.05);实时定量聚合酶链反应结果与蛋白水平一致,TPA处理3天后VCP/p97的mRNA水平显著上调约2倍(n=3,P<0.05),之后随逆向分化逐渐降低至未分化水平。产品关联:文献未提及具体实验产品,领域常规使用TPA试剂、实时定量聚合酶链反应试剂盒、蛋白质免疫印迹相关抗体。

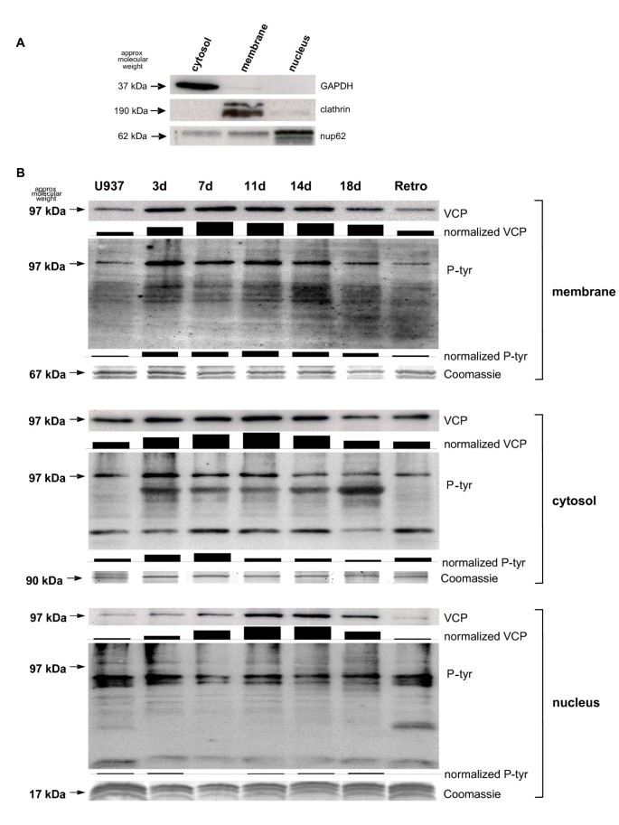
3.3 分化与逆向分化过程中VCP/p97亚细胞定位分析
实验目的:明确VCP/p97在U937细胞分化及逆向分化过程中的亚细胞定位变化及不同组分中的表达情况。方法细节:采用免疫荧光染色法检测VCP/p97的细胞内定位,用Hoechst 33258染色标记细胞核,观察未分化、分化3天/7天/14天、逆向分化细胞中VCP/p97的分布;同时采用亚细胞组分分离试剂盒分离细胞的胞质、膜、核组分,通过蛋白质免疫印迹检测各组分中VCP/p97的表达水平及酪氨酸磷酸化状态,以甘油醛-3-磷酸脱氢酶(GAPDH)、网格蛋白、核孔蛋白62分别作为胞质、膜、核组分的内参。结果解读:免疫荧光结果显示,未分化和逆向分化细胞中VCP/p97主要定位于胞质和细胞膜,细胞核内分布较少;而分化细胞中VCP/p97在细胞核内显著积累。亚细胞组分蛋白质免疫印迹结果显示,分化阶段膜组分和核组分中VCP/p97的表达水平显著上调,逆向分化阶段恢复至未分化水平;酪氨酸磷酸化信号仅存在于胞质和膜组分,核组分中未检测到该信号。产品关联:文献未提及具体实验产品,领域常规使用免疫荧光抗体、亚细胞组分分离试剂盒、蛋白质免疫印迹相关试剂。


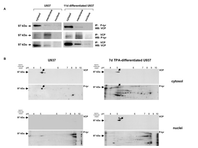
3.4 VCP/p97亚细胞磷酸化状态验证
实验目的:进一步验证VCP/p97在不同亚细胞组分中的酪氨酸磷酸化状态。方法细节:取未分化和分化11天的U937细胞,分离胞质、膜、核组分,采用免疫沉淀法,分别用抗磷酸酪氨酸抗体沉淀磷酸化蛋白,再通过蛋白质免疫印迹检测VCP/p97;同时用抗VCP/p97抗体沉淀VCP/p97,再通过蛋白质免疫印迹检测酪氨酸磷酸化;此外,采用双向凝胶电泳(2D-PAGE)分离胞质和核组分的蛋白,通过蛋白质免疫印迹检测VCP/p97及酪氨酸磷酸化状态。结果解读:免疫沉淀结果显示,胞质和膜组分中VCP/p97存在酪氨酸磷酸化信号,核组分中未检测到该信号;双向凝胶电泳结果显示,胞质中VCP/p97的蛋白斑点对应酪氨酸磷酸化斑点,而核组分中分化细胞的VCP/p97蛋白斑点无酪氨酸磷酸化信号。产品关联:文献未提及具体实验产品,领域常规使用免疫沉淀试剂盒、双向凝胶电泳系统、蛋白质免疫印迹相关抗体。

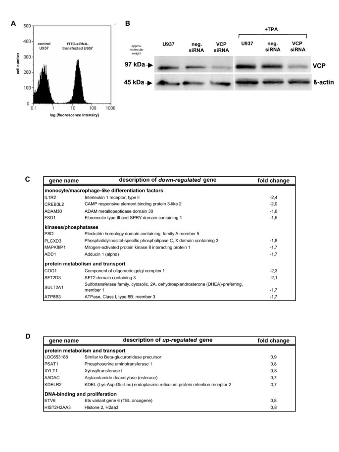
3.5 VCP/p97敲低对分化相关基因表达的影响分析
实验目的:明确VCP/p97在U937细胞分化过程中的功能作用。方法细节:采用siRNA转染U937细胞,敲低VCP/p97的表达,用FITC标记的阴性对照siRNA验证转染效率(>95%);转染72小时后,用10nM TPA处理细胞24小时诱导分化,提取细胞RNA,通过DNA微阵列分析基因表达变化,同时设置阴性对照siRNA转染组作为对照。结果解读:蛋白质免疫印迹结果验证VCP/p97的敲低效率约为70%(n=3,P<0.05);DNA微阵列结果显示,TPA处理的VCP/p97敲低细胞中,分化相关基因(如白细胞介素-1受体、肌动蛋白相关蛋白、ADAM金属蛋白酶13)的表达水平显著下调,而DNA结合及增殖相关基因的表达水平显著上调(n=3,P<0.05)。产品关联:文献未提及具体实验产品,领域常规使用siRNA转染试剂、DNA微阵列芯片、蛋白质免疫印迹相关抗体。

4. Biomarker研究及发现成果
本研究中鉴定的生物标志物为含缬酪肽蛋白(VCP/p97),属于蛋白类功能生物标志物,其筛选与验证逻辑为:首先在增殖细胞周期中分析基础表达模式,随后在分化与逆向分化的动态过程中观察表达、亚细胞定位及磷酸化状态的变化,最后通过功能敲低实验验证其与分化过程的调控关联,形成“表达观察→定位分析→功能验证”的完整链条。
VCP/p97的研究样本为人U937髓系白血病细胞,验证方法包括蛋白质免疫印迹、实时定量聚合酶链反应、免疫荧光染色、亚细胞组分分离分析、免疫沉淀、双向凝胶电泳、siRNA敲低及DNA微阵列分析。在U937细胞分化阶段,VCP/p97的蛋白水平显著上调约2.5倍(n=3,P<0.05),mRNA水平显著上调约2倍(n=3,P<0.05),且出现明显的核内积累,而在逆向分化阶段,其表达水平与亚细胞定位均恢复至未分化细胞的状态,这一动态变化具有高度的阶段特异性。
核心成果提炼:VCP/p97与人U937白血病细胞的分化及G0/G1期细胞周期停滞密切相关,其表达上调及核内积累是分化进程的关键特征;功能实验表明,VCP/p97正向调控分化相关基因的表达,负向调控增殖相关基因的表达,提示其在白血病细胞命运转换中发挥重要的调控作用。本研究的创新性在于首次发现VCP/p97在白血病细胞分化与逆向分化过程中的动态变化及功能,为白血病诱导分化治疗提供了潜在的靶点;由于研究仅基于细胞模型,未涉及临床样本,因此尚未提供临床诊断或预后的特异性与敏感性数据。
